胰腺腺泡细胞癌

胰腺腺泡细胞癌的ctmri表现特征
图片尺寸1280x919
胰腺腺泡细胞癌
图片尺寸930x763
胰腺腺泡细胞癌
图片尺寸300x314
罕见病:胰腺腺泡细胞癌_医学界-助力医生临床决策和职业成长
图片尺寸774x819
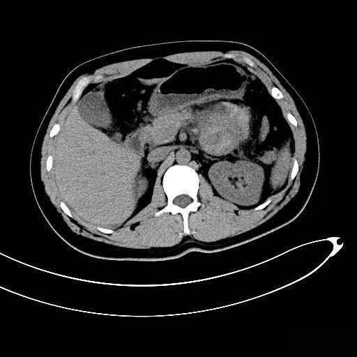
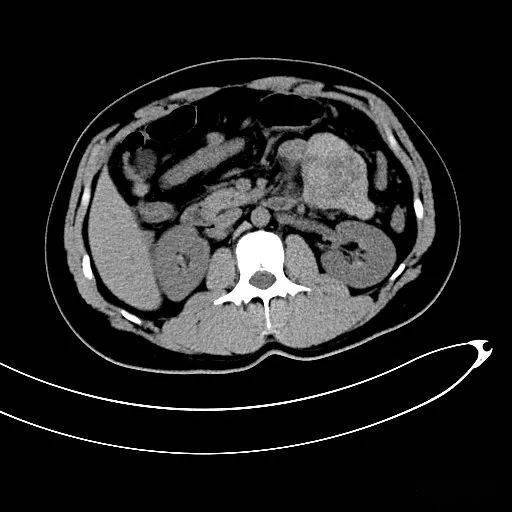
手术切除儿童胰腺腺泡细胞癌 - 好大夫在线
图片尺寸522x585
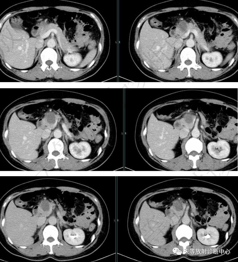
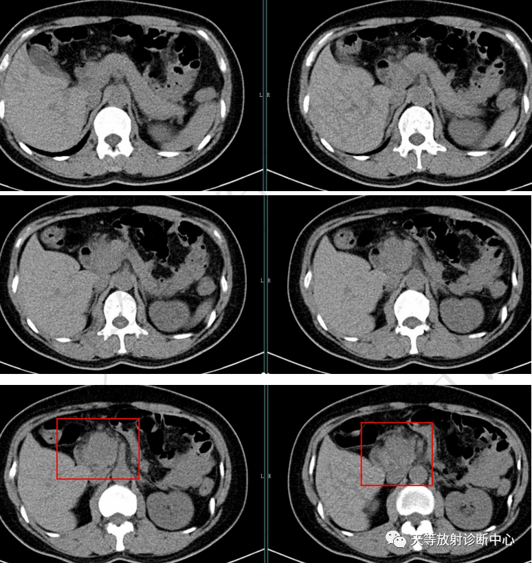
【病例】胰腺巨大占位(腺泡细胞癌)1例ct影像表现
图片尺寸1024x576
胰腺腺泡细胞癌
图片尺寸512x512
胰腺腺泡细胞癌
图片尺寸300x223
手术切除儿童胰腺腺泡细胞癌 - 好大夫在线
图片尺寸767x609
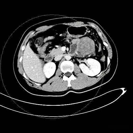
胰腺腺泡细胞癌
图片尺寸512x512
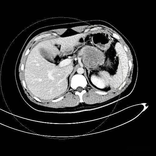
胰腺腺泡细胞癌
图片尺寸512x512
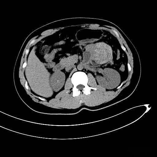
胰腺腺泡细胞癌
图片尺寸512x512
罕见病胰腺腺泡细胞癌
图片尺寸775x855
胰腺弥漫性肿大腺泡细胞癌讨论病例中美加非妇科细胞学交流群病例45
图片尺寸300x300
胰腺腺泡细胞癌
图片尺寸512x512
胰腺腺泡细胞癌的诊断与治疗
图片尺寸1080x587
胰腺腺泡细胞癌
图片尺寸512x512
胰腺实性肿物之腺泡细胞癌丨小打卡读片精选24
图片尺寸960x720
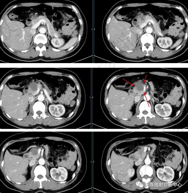
罕见病胰腺腺泡细胞癌
图片尺寸770x792
脂肪和糖)胰腺外分泌部 (构成腺体的大部分,重要消化腺)腺泡--->分泌
图片尺寸1080x448