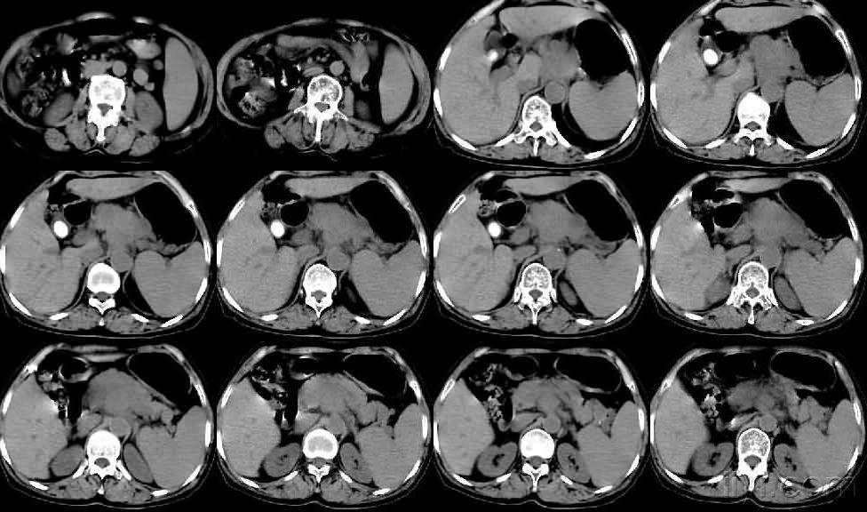
胰腺钩突部占位

紧急求助胰腺钩突部占位
图片尺寸3084x3691
胰头钩突区低密度占位性病变
图片尺寸676x508![【病例讨论】胰头占位一例 [病例帖]](https://i.ecywang.com/upload/1/img2.baidu.com/it/u=3946625926,1869665545&fm=253&fmt=auto&app=138&f=JPEG?w=375&h=500)
【病例讨论】胰头占位一例 [病例帖]
图片尺寸2448x3264
横切貌似胰头占位,但是细心看看钩突部的显示
图片尺寸768x576
【享病例】第141期 胰腺占位一例(提问篇)
图片尺寸671x540
疑难病例讨论胰腺占位
图片尺寸1080x2280
丁香园论坛
图片尺寸780x1040
53岁,女,体健超声发现胰腺占位
图片尺寸1080x810
胰腺占位
图片尺寸600x600
胰腺占位!请讨论!
图片尺寸1006x610
胰腺体尾部乏血供占位(对比钩突),包饶脾动脉(围管浸润),支持胰腺癌.
图片尺寸1502x875
胰腺占位
图片尺寸600x600
胰腺占位病理公布
图片尺寸783x561
胰腺占位!请讨论!
图片尺寸976x576
胰头占位患者,ct未见肿瘤,核磁提示胰腺癌,影像报道结果不一致,是手术
图片尺寸1600x773![【病例讨论】胰腺钩突部肿瘤,性质?手术?手式? [病例帖]](https://i.ecywang.com/upload/1/img2.baidu.com/it/u=3220270277,272965747&fm=253&fmt=auto&app=138&f=JPEG?w=639&h=385)
【病例讨论】胰腺钩突部肿瘤,性质?手术?手式? [病例帖]
图片尺寸639x385
胰腺占位性病变等你分析读片专栏907期
图片尺寸960x720
胰腺增强ct影像显示肿瘤位于胰头钩突,(后续图片稍许血腥,请谨慎观看)
图片尺寸2022x2000
胰腺占位性病变影像学表现ppt课件
图片尺寸800x600![一例特殊的胰腺占位诊治经验(三)易误诊的"胰腺富血供占位"1 [病例帖]](https://i.ecywang.com/upload/1/img1.baidu.com/it/u=1763364417,181662227&fm=253&fmt=auto&app=138&f=JPEG?w=600&h=500)
一例特殊的胰腺占位诊治经验(三)易误诊的"胰腺富血供占位"1 [病例帖]
图片尺寸2400x2000