胶原纤维电镜图

2.弹性纤维(elastic fiber),纤维较细而直径不等(0.2~1.
图片尺寸2048x1536
胶原纤维电镜图
图片尺寸504x331
1. 不同共混比下胶原复合纳米纤维膜的sem显微照片
图片尺寸720x1318
扫描电镜在改进派生的一系列新纤维的应用
图片尺寸650x432![图中组织中的纤维类型为:[图]a,胶原纤维b,胶原纤维束c.](https://i.ecywang.com/upload/1/img2.baidu.com/it/u=737265447,2600650321&fm=253&fmt=auto&app=138&f=JPEG?w=500&h=313)
图中组织中的纤维类型为:[图]a,胶原纤维b,胶原纤维束c.
图片尺寸858x537
借助扫描电镜给纤维加点技能
图片尺寸559x595
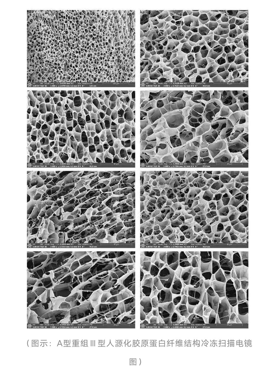
重塑生命新突破a型人源化胶原蛋白开启人体生命材料新时代
图片尺寸1080x1471
创伤21 d后扫描电镜观察新生皮肤的胶原排列情况
图片尺寸949x684
扫描电镜在纺织纤维中的应用
图片尺寸810x586
需要测量照片中蓝色部分胶原纤维面积(最好用um2表示)及其占整个视野
图片尺寸3264x1832
合成和分泌胶原蛋白的组织呢,叫成纤维细胞,它是制造和输出胶原蛋白的
图片尺寸298x300
借助扫描电镜给纤维加点技能
图片尺寸1920x1275
大部分毛巾由棉纤维制成,亲水性纤维素分子和毛细管作用有助于毛巾
图片尺寸638x479
与《胶原物理与化学》书中的"阴极性染色的胶原纤维显示的特色性暗带
图片尺寸660x473
纤维
图片尺寸1157x868
i型胶原纳米纤维(a,b),3dp(c,d)和生物复合支架(e,f)样品的代表性扫描
图片尺寸388x497
图解:冻干胶原蛋白电子显微镜图,如图所示,冻干后的胶原蛋白依然保持
图片尺寸1062x440
标题:【求助】用扫描电镜观察束状纤维的表面
图片尺寸1024x768
疏松结缔组织 胶原纤维胶原纤维:在电镜下观察,胶原纤维是由胶原原
图片尺寸600x444
图3 zno/pvdf复合型柔性压电纳米纤维膜表面形貌放大后的扫描电镜图谱
图片尺寸1444x964