胶质母细胞瘤四级

胶质母细胞瘤的初始治疗_胶质瘤_介绍_治疗方式_日常注意事项 - 好
图片尺寸2202x1410
四级胶质瘤:胶质母细胞瘤症状表现有哪些?
图片尺寸599x664
多形性胶质母细胞瘤
图片尺寸621x1020
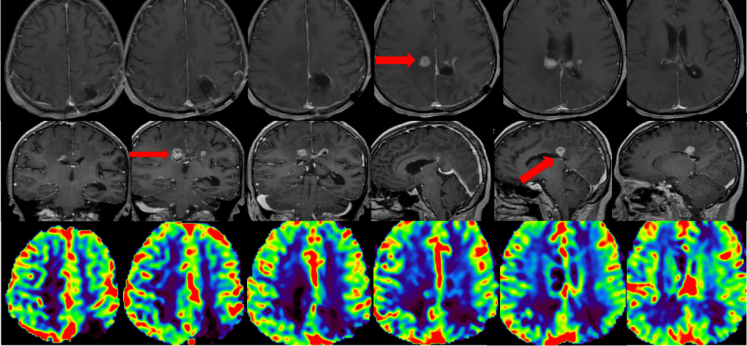
一例胶质母细胞瘤患者who4级术后tmz联合ttfields治疗总生存期16个月
图片尺寸932x524
胶质母细胞瘤
图片尺寸500x373
四级胶质瘤较长寿命?胶质瘤治疗方法有哪些?
图片尺寸281x254
胶质瘤四级奇迹个例
图片尺寸600x460
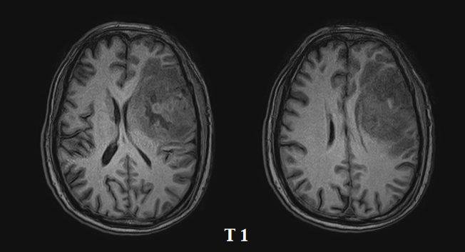
胶质母细胞瘤
图片尺寸337x500
详细的胶质母细胞瘤图谱有助于选择更好的治疗方法
图片尺寸500x333
胶质瘤四级奇迹个例
图片尺寸600x348
爱见新生一例胶质母细胞瘤患者who4级术后辅助tmz联合肿瘤电场治疗总
图片尺寸563x268
爱见新生一例胶质母细胞瘤who4级idh野生型术后使用ttfields治疗总
图片尺寸1080x500
爱见新生一例胶质母细胞瘤患者who4级术后辅助tmz联合肿瘤电场治疗总
图片尺寸652x353
多形性胶质母细胞瘤?
图片尺寸500x341
深度解析胶质母细胞瘤新疗法进展
图片尺寸500x309
胶质母细胞瘤简介
图片尺寸1026x684
分享一例脑胶质母细胞瘤病例(原创)
图片尺寸960x1280
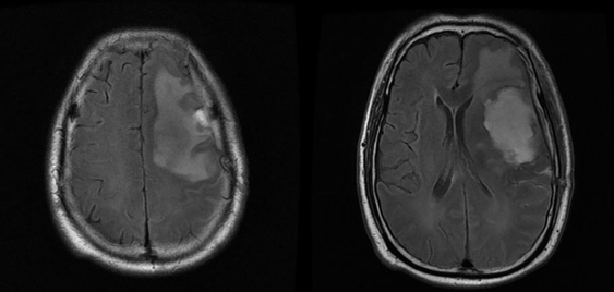
右侧顶枕叶巨大胶质母细胞瘤
图片尺寸680x736
紧急求助丨涵涵确诊四级弥漫中线胶质瘤,救救可爱的冰娃!
图片尺寸960x1280
长期生存的胶质母细胞瘤患者的临床特点及异柠檬酸脱氢酶1/2基因突变
图片尺寸640x528