胶质瘤

脑胶质瘤的症状,都有哪些?
图片尺寸640x410
胶质瘤科普文章-有来医生
图片尺寸650x503
胶质瘤科普文章-有来医生
图片尺寸659x500
胶质瘤科普文章-有来医生
图片尺寸746x500
巨大视路胶质瘤"等待失明",还是奋力一搏?
图片尺寸657x680
祝贺浙二神外周刊第200期!丨一例累及exner区胶质瘤切除后对中文语言
图片尺寸796x740
高级别胶质瘤的那些事(省中神外病例分享 第11期) - 美篇
图片尺寸2132x3344
脑胶质瘤碘125粒子植入术治疗效果及注意事项
图片尺寸640x782
左侧额叶语言中枢低级别胶质瘤手术 - 美篇
图片尺寸2000x2667
胶质瘤科普文章-有来医生
图片尺寸640x631
有症状的胶质瘤应积极手术,没有症状的胶质瘤,应严密观察,一旦有发展,
图片尺寸1824x1368
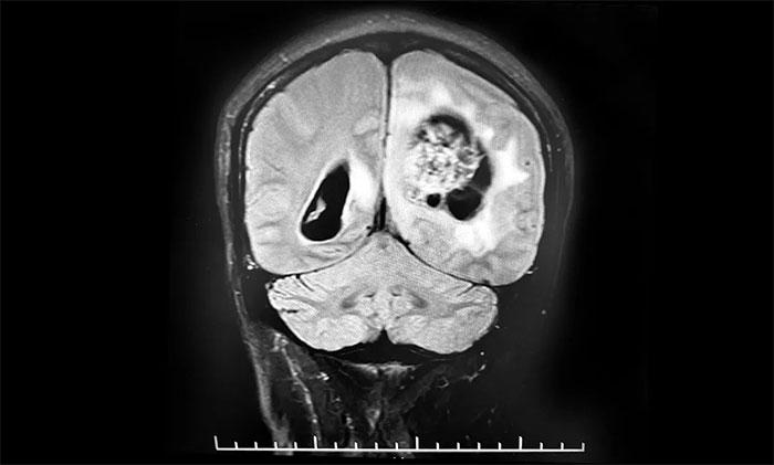
脑胶质瘤影像学及鉴别诊断 - 美篇
图片尺寸2667x2000
男子巨大脑瘤卒中昏迷不醒千里赴沪求医,李士其教授迎难而上顺利切除8
图片尺寸700x421
脑干延髓胶质瘤可以做手术吗?脑干延髓胶质瘤治愈案例有吗?-inc-国际
图片尺寸588x754
颞叶胶质瘤切除术-术者屈延-脑外科专家 顾建文教授-搜狐博客
图片尺寸500x349
脑胶质瘤影像学及鉴别诊断 - 美篇
图片尺寸2667x2000
胶质瘤科普文章-有来医生
图片尺寸650x500
兴宁市人民医院神经外科再次成功完成颅内恶性胶质瘤显微镜下全切除术
图片尺寸1620x2160
巨大胶质瘤切除一例. - 美篇
图片尺寸1659x1697
胶质瘤死前三个月症状?_39健康经验
图片尺寸500x614