胶质瘤影像

如何拍摄发送高清的影像胶片_胶质瘤_胶质瘤治疗方式 - 好大夫在线
图片尺寸2951x3557
再谈胶质瘤的治疗_胶质瘤 - 好大夫在线
图片尺寸1824x1368
弥漫性低级别胶质瘤术后复发模式
图片尺寸767x457
分享一例左侧颞叶星形胶质瘤的核磁影像
图片尺寸1280x676
「病例快讯」——(第8期):肿瘤三组之高级别胶质瘤系列
图片尺寸1837x1199
区域肿瘤术前的影像提示:双额叶胼胝体高级别胶质瘤(右侧额叶为主)
图片尺寸1675x1033
功能区胶质瘤_胶质瘤 - 好大夫在线
图片尺寸800x614
神经节胶质细胞瘤的影像学特征theneurosurgicalatlas全文翻译
图片尺寸1080x1188
复合手术病例分享-巨大低级别胶质瘤手术治疗一【姚晓辉美篇】
图片尺寸1716x909
胶质瘤手术实例
图片尺寸930x523
大家帮看看胶质瘤
图片尺寸2304x3072
脑干弥漫性中线胶质瘤一例「武汉高尚医学影像」
图片尺寸586x710
「病例快讯」——(第8期):肿瘤三组之高级别胶质瘤系列
图片尺寸1799x1199
节细胞胶质瘤(gg3)
图片尺寸1246x908
胶质瘤三级沿脑沟全切
图片尺寸2667x2000
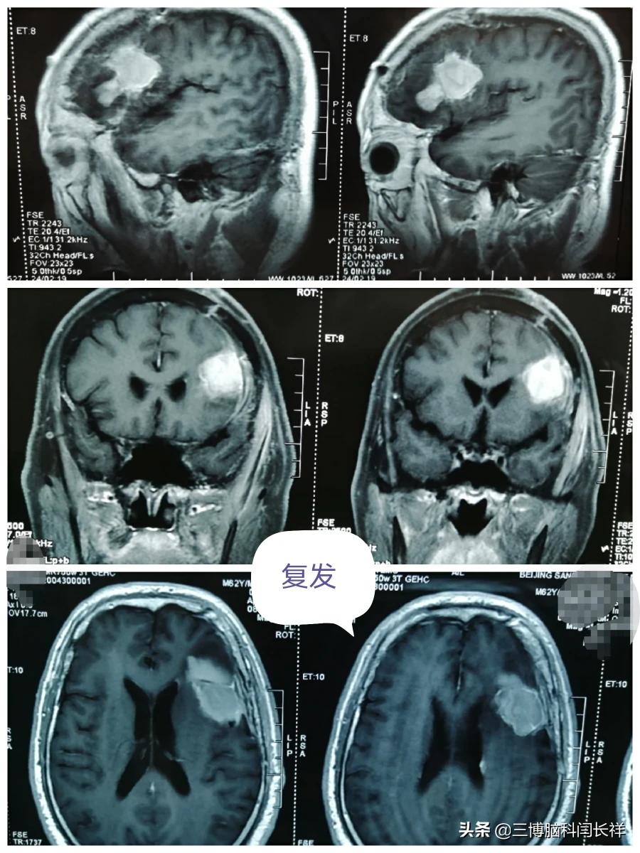
胶质瘤4级术后两个月复发,原因令人捶胸顿足_胶质瘤_胶质瘤治疗方式
图片尺寸900x1200
大家帮看看胶质瘤
图片尺寸2304x3072
「病例快讯」——(第8期):肿瘤三组之高级别胶质瘤系列
图片尺寸1772x1199
胶质瘤 - 好大夫在线
图片尺寸4032x3024
近期功能区胶质瘤3例总结
图片尺寸2160x2160