胶质瘤细胞

胶质细胞瘤
图片尺寸1280x1024
u251【人胶质瘤细胞】 人胶质瘤细胞
图片尺寸640x426
胶质母细胞瘤的初始治疗_胶质瘤_介绍_治疗方式_日常注意事项 - 好
图片尺寸2202x1410
胶质瘤细胞|北纳生物
图片尺寸380x280
胶质瘤细胞注入小鼠体内以及十名神经胶质瘤患者的样本中均发现了突触
图片尺寸640x427
大多数胶质母细胞瘤获批新适应症用于复发性患者的治疗
图片尺寸1440x1080
胶质母细胞瘤症状
图片尺寸500x341
深度解析胶质母细胞瘤新疗法进展
图片尺寸500x309
胶质母细胞瘤治疗须知脑胶质瘤多长时间放化疗一个周期
图片尺寸496x586
2016年who胶质母细胞瘤分类解读
图片尺寸812x523
贝伐单抗多久有耐药性_胶质母瘤四级死亡过程_胶质母细胞瘤脑水肿打
图片尺寸550x423
fda批准贝伐单抗用于治疗胶质母细胞瘤患者的生存期要显著长于
图片尺寸400x250
监督管理局批准贝伐珠单抗注射液获批用于治疗成人复发性胶质母细胞瘤
图片尺寸2414x1610
胶质瘤细胞系gl261细胞形态求助
图片尺寸4624x3468
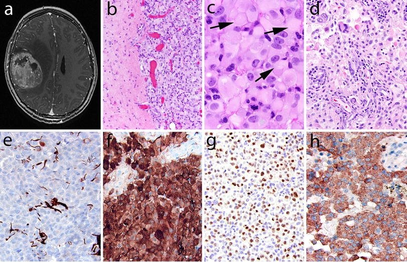
凝神聚胶吴赞艺医师复发间变性少突胶质细胞瘤病例分享2018全国青年
图片尺寸1080x608
小脑的囊性星形胶质细胞瘤(大体)
图片尺寸504x330
u251人胶质瘤细胞str鉴定正确
图片尺寸804x600
胶质瘤
图片尺寸640x516
kns-81:人神经胶质瘤复苏细胞(提供str鉴定图谱)
图片尺寸1362x1026
胶质瘤能治好吗关于胶质母细胞瘤的15个必知事实
图片尺寸840x603