胸主动脉夹层

一张图看懂,主动脉夹层动脉瘤.
图片尺寸1080x1440
胸疼的原因找到了原来是主动脉夹层惹的祸.
图片尺寸889x500
收藏起.#主动脉夹层 #动 - 抖音
图片尺寸1080x1395
四大高危胸疼,别忽视来势汹汹的主动脉夹层带来的危害.
图片尺寸904x1280
小伙遇上致命主动脉夹层 ,医院开通"绿色通道"紧急手术成功"拆弹"
图片尺寸791x1209
医学超声影像学笔记主动脉夹层
图片尺寸549x363
主动脉夹层又称主动脉夹层动脉瘤,是一种严重的心血管急症,是主动脉
图片尺寸621x438
主动脉夹层
图片尺寸661x471
主动脉夹层 主动脉夹层(aortic dissection,ad)又称主动脉夹是由主
图片尺寸1280x1706
湘雅二医院心血管外科一周完成15例急性a型主动脉夹层手术_腾讯新闻
图片尺寸856x848
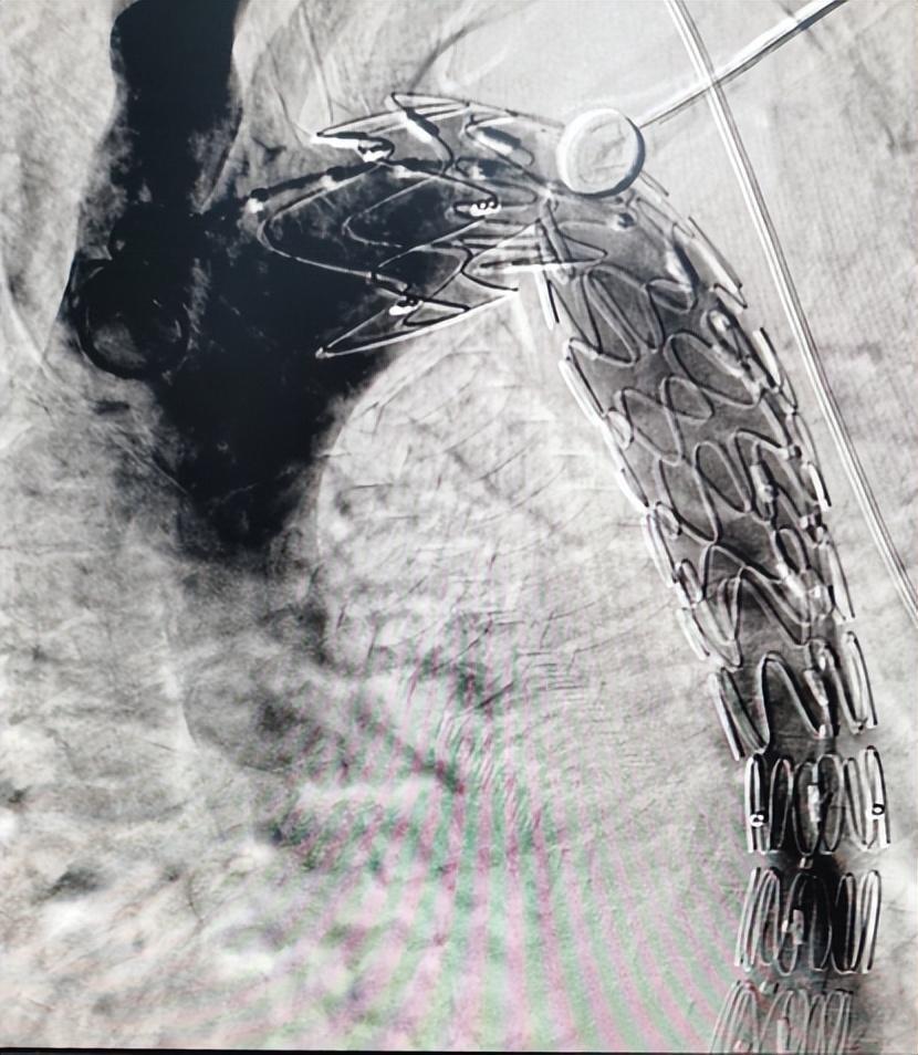
医院介入医学科团队应用castor分支支架成功救治一例胸主动脉夹层患者
图片尺寸750x410
老人突发致命主动脉夹层,专家团队精准定位成功"拆弹"!
图片尺寸830x954
胸背疼痛务必及时就医警惕凶险的主动脉夹层
图片尺寸865x750
主动脉夹层
图片尺寸784x2126
主动脉夹层误诊一例
图片尺寸524x441
小伙遇上致命主动脉夹层 ,医院开通"绿色通道"紧急手术成功"拆弹"
图片尺寸775x1185
小伙遇上致命主动脉夹层 ,医院开通"绿色通道"紧急手术成功"拆弹"
图片尺寸960x628
【垂医科普】放射科:病例讨论 | 主动脉夹层(debakeyⅠ型)
图片尺寸600x399
主动脉夹层是什么##高血压
图片尺寸690x775
主动脉夹层的类型
图片尺寸640x361