胸主动脉夹层ct图片

主动脉夹层分型及临床
图片尺寸640x852
主动脉夹层,壁间血肿及穿通性溃疡
图片尺寸960x720
突然胸疼,小心"主动脉夹层"!
图片尺寸2666x2000
经冠脉ct,主动脉cta等检查,诊断为a型主动脉夹层,已经累及肠系膜上
图片尺寸865x750
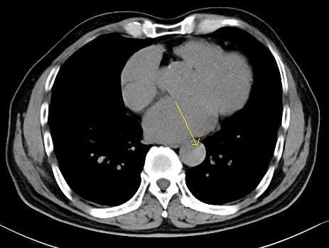
经典图谱ct平扫诊断主动脉夹层
图片尺寸508x511
胸主动脉夹层急诊tevar
图片尺寸4032x3024
突然胸疼,小心"主动脉夹层"!
图片尺寸2666x2000
主动脉夹层命悬一线 介入专家为生命护航
图片尺寸1199x1707
行胸部ct提示主动脉增厚,怀疑主动脉夹层,为了进一步明确诊断,在我科
图片尺寸750x1000
经典图谱ct平扫诊断主动脉夹层
图片尺寸463x349
患者主动脉夹层cta影像图片
图片尺寸2000x2664
难道是主动脉夹层?黄医师立即安排齐先生进行ct血管造影检查.
图片尺寸640x510
主动脉夹层钙化斑内移影像(增强ct)
图片尺寸577x444
体内的不定时--主动脉夹层
图片尺寸1600x1200
主动脉夹层详细图解 - 好大夫在线
图片尺寸574x405
生死时速之——主动脉夹层篇
图片尺寸3024x4032
完全经皮穿刺技术三分支腔内重建治疗复杂型胸主动脉夹层一例
图片尺寸1575x2100
简称主动脉夹层.
图片尺寸1600x1200
从胸部ct平扫上诊断主动脉夹层有哪些要点
图片尺寸1920x1080
如何通过cta判断急性/慢性主动脉夹层?
图片尺寸960x540