胸导管 淋巴

是人类最长,最粗的淋巴管道,由左,右腰淋巴干和
图片尺寸1079x1397
胸导管和右淋巴导
图片尺寸1500x1125
胸导管素材-胸导管图片
图片尺寸600x800
胸导管的结构与功能:淋巴引流的关键通道
图片尺寸638x477
淋巴导管主要包括两部分: 乳糜池胸导管和右淋巴导管
图片尺寸750x1000
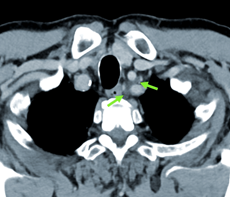
胸导管及其淋巴囊肿的ct影像特征详解
图片尺寸877x743
胸导管及其淋巴囊肿的ct影像特征详解
图片尺寸885x850
102.淋巴导管
图片尺寸853x480
45cm,管径2-3mm,收集左侧上半身和整个下半身的淋巴
图片尺寸363x500
胸导管及其淋巴囊肿的ct影像特征详解
图片尺寸790x675
胸导管及其淋巴囊肿的ct影像特征详解
图片尺寸996x793
胸导管示意图
图片尺寸960x1920
胸导管的结构与功能:淋巴引流的关键通道
图片尺寸638x464
淋巴,又称"白色的血液",是体液的一种
图片尺寸384x597
【小潘同学的保镖呢】最新视频上线,求关注!
图片尺寸960x720
淋巴导管
图片尺寸1600x930
探索胸导管的奥秘:结构与功能
图片尺寸860x500
淋巴系统的神奇作用:免疫系统的守护神🌿
图片尺寸1080x1050
淋巴导管:淋巴干最终汇合成胸导管和右淋巴导管,这两条导管分别注入到
图片尺寸712x570
胸腺淋巴的三个位置图
图片尺寸1242x828