胸椎前凸

"医生,您不知道,我孩子的学校是西安的重点中学,作业太多了,根本
图片尺寸1013x1280
女孩胸骨前突:手术?不手术?
图片尺寸370x501
将近六个月复查,胸椎后凸,腰椎前凸曲度均有减小!体态也有改善.
图片尺寸1080x1440
金晨近照消瘦,胸前骨头凸起,吴谨言杨颖也是同款"排骨胸"
图片尺寸870x948
本人十四岁,初三,体型偏瘦,今天无意发现我的胸骨
图片尺寸648x488
术前核磁:胸12-腰1椎间盘突出,胸椎管狭窄.内镜术中清晰显露硬膜囊.
图片尺寸1080x1250
脊柱侧弯资讯网站_后背脊柱往后弯腰疼_窗帘弯轨弯俩个弯怎样弯尺寸
图片尺寸640x522
青少年特发性脊柱侧凸的家长手册及网上就医前注意事项
图片尺寸1280x960
胸椎1-3病变,请教
图片尺寸1280x960
陈旧性关节错位
图片尺寸2048x1536
68岁胸椎压缩性骨折椎体成形手术一例
图片尺寸2258x3940
辞旧岁,迎新年——焦作市首例内镜下手术治疗胸椎黄韧带骨化症
图片尺寸1080x1189
甘肃省中医院帮扶队在陇西县中医院骨二科成功开展全县首例双胸椎
图片尺寸1065x799
【南阳市儿童医学中心 儿二科 张龙】,小儿佝偻病你了解多少呢?
图片尺寸1057x743
请问专家:胸腰椎侧s型变形该怎么处理更理想,是15岁女孩,谢谢!
图片尺寸720x960
女性,54岁,胸骨柄突起畸形数年,偶尔疼痛
图片尺寸2000x2667
从侧面看,正常的脊柱表现为一定角度的颈椎前凸,胸椎后凸,腰椎前凸和
图片尺寸700x1049
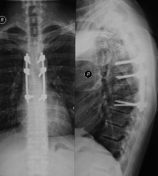
术后x线片示胸椎6,7椎间隙后部相邻终板和椎体切除术后矢状位ct示胸6
图片尺寸550x610
金晨的胸椎都弯成括号了网友的注意力却全在她故意遮掩假体
图片尺寸500x667
脊柱侧凸的诊断及治疗
图片尺寸610x376