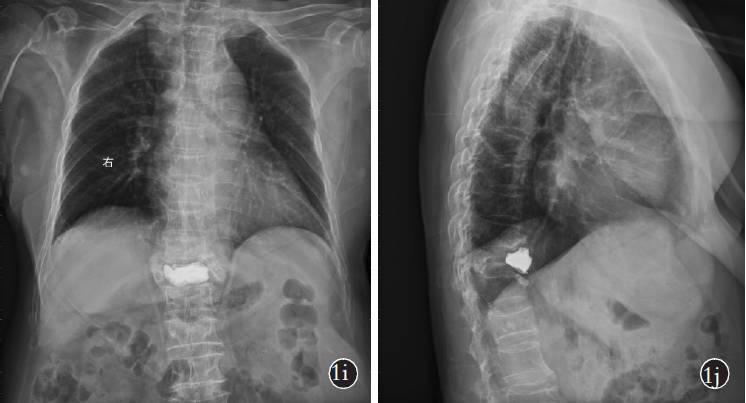
胸椎正侧位x片

术后3 年胸椎正侧位x 线片示骨水泥向前移位加重
图片尺寸746x403
胸椎正侧位.jpg
图片尺寸4038x2718
胸椎侧位如何看是第几胸椎?
图片尺寸2312x1796
胸部正侧位影像解剖#医学影像 - 抖音
图片尺寸1280x860
请教各位:10570-胸部正侧位片
图片尺寸1024x1024
x线规范化检查 | 胸部正侧位摄影
图片尺寸1080x608
胸部及脊柱骨质改变?
图片尺寸2560x3052
儿童胸片正侧位(氟骨症)
图片尺寸1576x864
全脊柱正侧位x片因此从全脊椎的正侧位片上,可以观察到脊柱的形态是否
图片尺寸400x578
正侧位x线示:生理曲度消失,胸腰段微后凸
图片尺寸1200x1487
翻到去年查肺结核的胸片发现我好像真的脊椎侧弯啊
图片尺寸1080x1144
常见脊柱疾病的x线分析 胸椎正位x线图
图片尺寸1079x809
胸椎侧位与正位(图)
图片尺寸472x432
胸椎侧位如何看是第几胸椎?
图片尺寸2108x1796
胸椎正侧位
图片尺寸720x960
郑医生疼痛康复团队之四【少见病】·病例4_患病率
图片尺寸1080x1080
【收藏】|x线摄影技术《胸部正侧位摄影》标准摆位图文解析!
图片尺寸1080x608
3,棘突,4,横突)(本例4,5钩椎关 节不对称)下位颈椎与上位胸椎x光片(1
图片尺寸640x1038
十一个胸椎
图片尺寸1630x2173
胸椎解剖脊柱侧弯角度测量法
图片尺寸1080x1439