胸椎突出

黎燕清,女,56岁,胸椎后凸畸形,t8,9椎体骨折,as并al,op,清远职工医保
图片尺寸2000x2667
术前核磁:胸12-腰1椎间盘突出,胸椎管狭窄.内镜术中清晰显露硬膜囊.
图片尺寸1080x1250
病例分享胸腰段脊柱后凸畸形
图片尺寸640x769
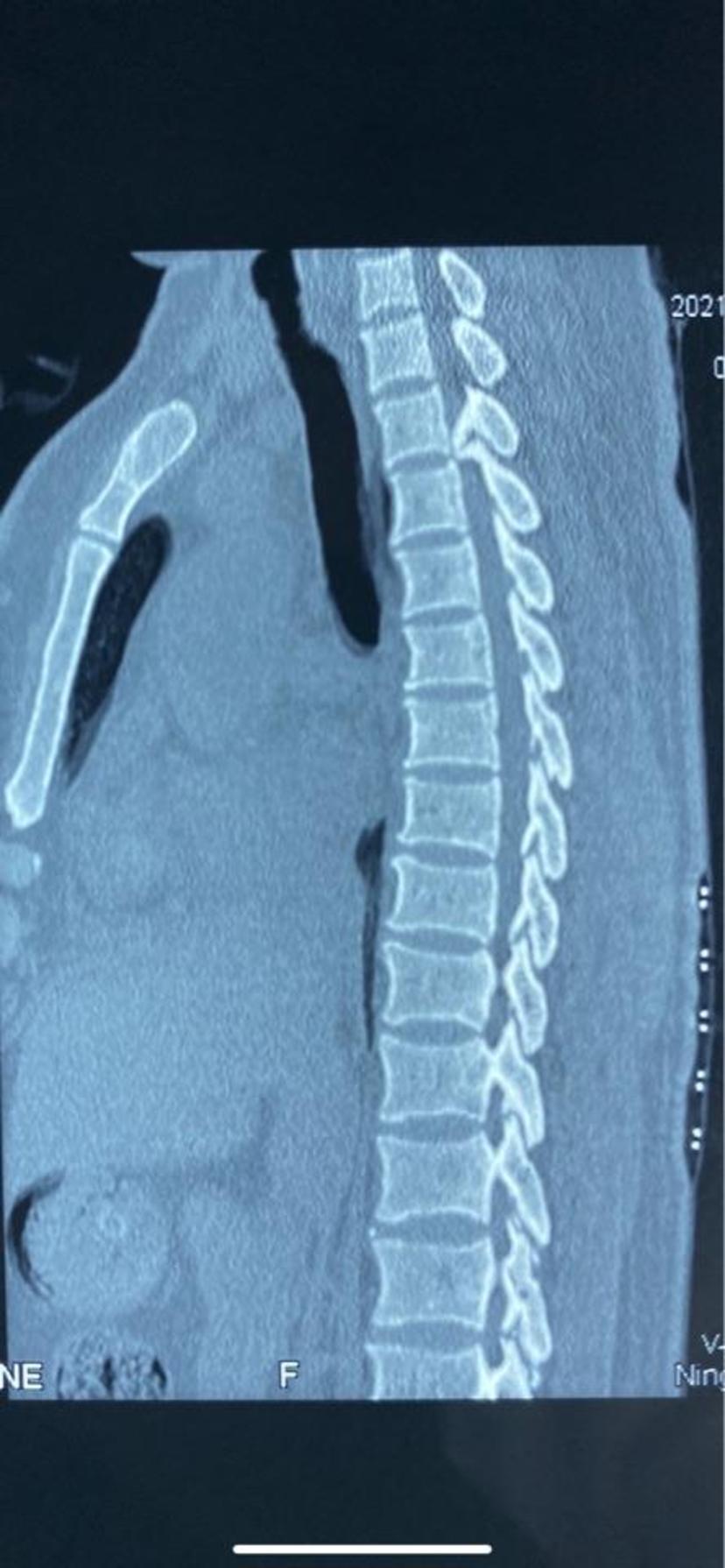
宁夏第四人民医院首次为胸椎结核并发严重后凸畸形的病人实施手术
图片尺寸640x853
脊柱侧弯资讯网站_后背脊柱往后弯腰疼_窗帘弯轨弯俩个弯怎样弯尺寸
图片尺寸640x522
胸椎严重后凸图
图片尺寸821x547
青少年特发性脊柱侧凸的家长手册及网上就医前注意事项
图片尺寸1280x960
由颈椎,胸椎,腰椎,骶骨,尾骨构成的脊柱,被称为人体的第二生命线,其
图片尺寸1484x2207
x线片提示:胸椎退行性变,部分椎间盘突出,钙化.
图片尺寸1080x1189
比如:如果顶椎位于第7颈椎和第1胸椎,称为颈胸段侧弯如果顶椎位于第7
图片尺寸398x820
胸椎1-3病变,请教
图片尺寸1280x960
所以人们常说的椎间盘突出多指腰椎间盘突出,其实颈椎,胸椎之间均有椎
图片尺寸493x335
胸椎侧后凸畸形vcr截骨矫形手术帮助35岁小伙挺起脊梁_新浪黑龙江
图片尺寸550x563
胸椎骨刺能治好吗?
图片尺寸720x1559
大包,指的是在后背上部颈胸交界处,第七颈椎和第一胸椎有凸起的硬包块
图片尺寸705x450
宁夏第四人民医院首次为胸椎结核并发严重后凸畸形的病人实施手术
图片尺寸640x853
胸椎发生故障会引起哪些症状?正骨师要知道这些
图片尺寸684x514
胸椎,颈椎,腰椎,骨棘突定位(图文学解)
图片尺寸342x346
严重上胸椎黄韧带骨化胸椎管狭窄症治愈
图片尺寸828x1790
黎燕清,女,56岁,胸椎后凸畸形,t8,9椎体骨折,as并al,op,清远职工医保
图片尺寸2000x2667