胸片胃部胃泡图

这些空气进入胃之后,可以刺激胃的臂丛神经以及膈神经,引起打嗝(呃逆)
图片尺寸619x825
③影像评价两侧膈肌,腹部软组织,盆腔对称显示;脊柱在图像正中;胃泡
图片尺寸660x550
x线诊断要点丨胃肿瘤的那些概念和征象
图片尺寸722x516
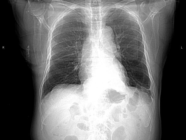
拍的胸片麻烦看一下胃是不是很大
图片尺寸2560x1920
看图识病:单泡征与双泡征提示什么?
图片尺寸414x531
术前胸片及造影提示胃突入右侧胸腔
图片尺寸531x340
31 分钟前提问者采纳 圆形阴影 是胃泡.
图片尺寸600x450
日志
图片尺寸602x594
分析:1胸片前后对照膈面难以确定,左
图片尺寸2305x2015
胸片表现:在胸部平片上显示为膈上心影重叠处的含气疝囊影,立位可见液
图片尺寸1400x1297
老年女性胸腔胃一例
图片尺寸876x876
老年女性胸腔胃一例
图片尺寸876x876
患儿出生反复呕吐腹胀无胎粪排出诊断为这种消化道畸形疾病
图片尺寸357x260
影像学及疗效评价:患者于治疗2周期后复查胸腹部ct,见肺转移瘤及胃部
图片尺寸882x1090
x光胸片看看 谁知道肺下面那个黑块是怎么回事?
图片尺寸450x338
正常胸片胸部c阅读浅谈pptppt
图片尺寸860x645
患者胸片可见胃底疝入胸腔
图片尺寸2000x2667
胸片心影解剖:x线摄片检查
图片尺寸556x457
胸腔胃一块压在患者心上的大石头
图片尺寸605x455
请会诊膈肌疝胸腔胃
图片尺寸1416x706