胸片 肺结核

胸片(肺结核合集3)
图片尺寸1080x1122
肺结核:活动性,还是非活动性?
图片尺寸1016x727
肺结核的分型及影像学表现
图片尺寸1080x1071
肺结核类型及症状
图片尺寸2400x1076
众多典型胸片,助你提升临床观察能力
图片尺寸960x691
肺结核
图片尺寸920x690
肺结核所有分型解析(图文结合,ct和胸片结合)
图片尺寸588x572
研究300位肺结核病人,研究发现:患病的人,有这3个坏习惯
图片尺寸1242x1242
图片尺寸1080x1920
胸片或ct显示肺部弥漫性片状影,磨玻璃结节影,可能是什么情况?
图片尺寸700x493
纪实:53岁女子查出肺结核,每天坚持锻炼,半年后复查结果如何
图片尺寸1102x733
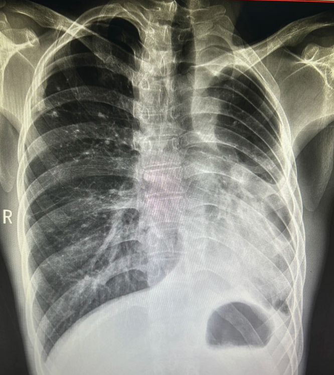
一例教科书级胸片:典型"陈旧性肺结核"
图片尺寸1242x1656
肺结核的分型及影像学表现
图片尺寸1080x1098
原发性肺结核在胸片上常表现为肺中下叶的小片状浸润病灶,同时可能有
图片尺寸666x747
年末体检报告解读与陈旧性肺结核科普
图片尺寸610x653
在我国,肺结核也称为"肺痨",肺结核属于乙型传染病,有高传染性,一个不
图片尺寸2527x1280
2,炎症:如肺炎,肺结核等
图片尺寸750x500
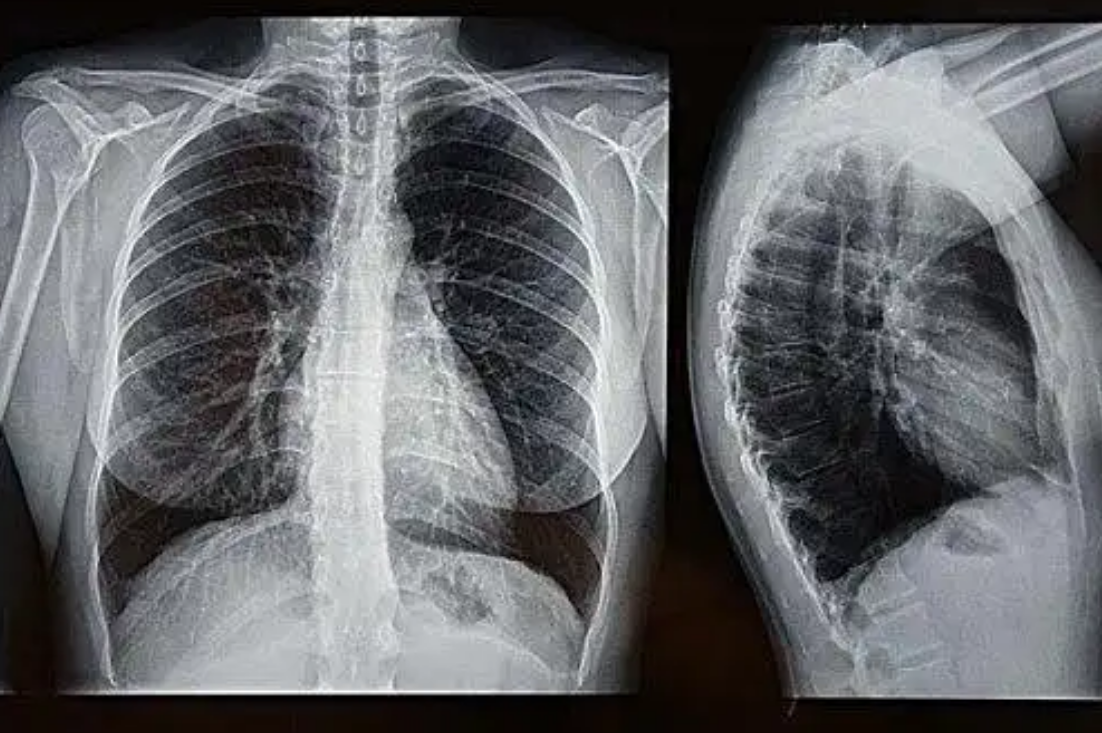
四年前得过肺结核后治愈要参加公务员体检了帮忙看下这张胸
图片尺寸600x800
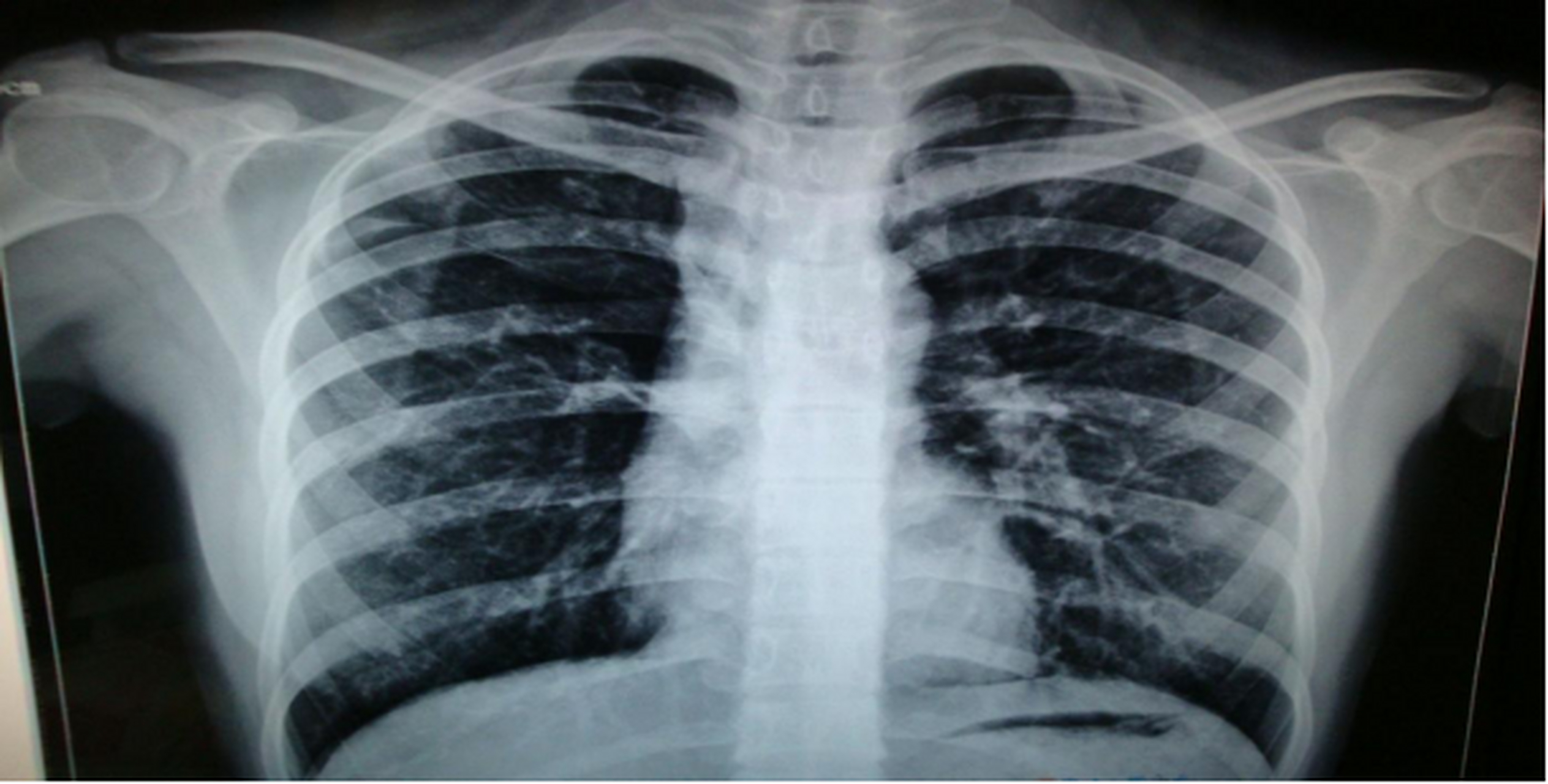
胸部x光显示晚期肺结核
图片尺寸1016x1200
从在学校拍胸片怀疑是肺结核到去医院确诊为耐多药肺结核再到现在
图片尺寸1280x1706