胸腔积液超声

胸腔积液超声图像请教
图片尺寸844x562
icu中经胸超声在胸腔积液中的应用(3)----从诊断到治疗 综述
图片尺寸2031x1605
胸腔积液的超声诊断,既简单又复杂
图片尺寸448x438
icu中经胸超声在胸腔积液中的应用(2)----从诊断到治疗 综述
图片尺寸640x500
心包积液
图片尺寸3000x4000
右侧胸腔积液
图片尺寸512x512
实时超声引导下胸腔积液穿刺在临床治疗中的应用
图片尺寸450x367
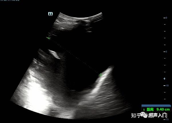
胸腔积液的超声诊断,既简单又复杂
图片尺寸602x431
2015年5月12日胸腔彩超示右侧胸腔积液(38mm);腹腔彩超示腹腔少量积液
图片尺寸600x462
icu中经胸超声在胸腔积液中的应用1从诊断到治疗综述
图片尺寸2031x813
一例胸腔包裹性积液的处理
图片尺寸3264x2448
心包积液的超声诊断及鉴别
图片尺寸1050x681
心包,胸腔,腹腔等体腔积液的超声测量
图片尺寸640x407
胎儿单侧胸腔积液超声图.jpg
图片尺寸1004x643
icu中经胸超声在胸腔积液中的应用(3)----从诊断到治疗 综述
图片尺寸2031x1084
超声检查:如图可见:心影增大,主支气管抬升,未见胸腔积液.
图片尺寸673x1003
超声微课堂胸腔积液的超声测量
图片尺寸640x478
求助各位大佬:心超小白刚,心包积液的超声定位问题
图片尺寸945x614
9291耐药双侧胸腔积液接下来该怎么治疗
图片尺寸782x1390
胸腔积液的超声诊断,既简单又复杂
图片尺寸594x396