胸腔积液B超

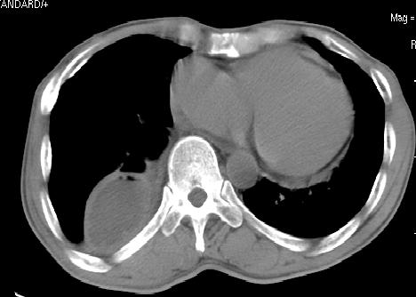
心包积液(少量).
图片尺寸1080x638
一位老年女性,因原发性支气管肺癌出现大量胸腔积液,在外院治疗症状有
图片尺寸705x500
包裹性胸腔积液
图片尺寸468x334
肺部检查显示左侧有一定量的胸腔积液,于是便住院接受治疗.
图片尺寸1035x639
牛罗湖医院母胎医学团队再获突破完成首例胎儿胸腔羊膜腔胸水引流术
图片尺寸799x597
颜色变浅,右侧腰部,双肾区叩击痛明显,胸腔b超提示:双侧胸腔积液消失
图片尺寸478x172
少见的胸腔积液病因之一,您能猜到吗?_mmhg_ml_病史
图片尺寸960x540
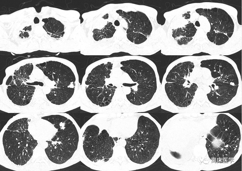
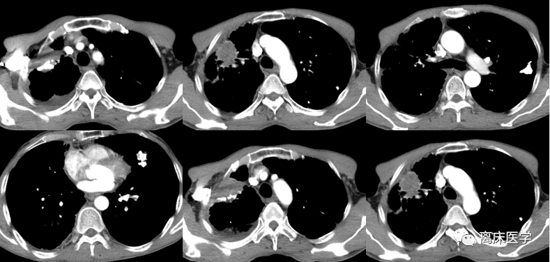
肺部阴影待查;2.胸腔积液.
图片尺寸563x487
肺部阴影待查;2.胸腔积液.
图片尺寸789x557
肺部阴影待查;2.胸腔积液.
图片尺寸625x420
附属七院开展首例crrt治疗
图片尺寸580x387
肺部阴影待查;2.胸腔积液.
图片尺寸789x376
【善·科普】干咳,气短,胸痛……胸腔积液不可忽视
图片尺寸468x333
深圳维明生中医馆:中医怎样认识恶性胸腔积液?_脏腑_正气_水液
图片尺寸4000x3000
"b超大夫"来了!"病灶"哪里藏?_探伤
图片尺寸960x540
术后胸腔仅有少量积液,左肺恢复正常大小七个月了,小陈数着日子,再等
图片尺寸361x443
胸腔积液为什么要做胸腔镜?_检查
图片尺寸1269x952
肺部常见疾病科普丛书:气胸与胸腔积液
图片尺寸1280x2119
儿童_诊治_症状
图片尺寸730x457
一部隔离病房手机的自述
图片尺寸440x586