胸腔纵隔肿瘤

不可轻视的前纵隔肿块胸外科剑突下单孔微创手术治疗胸腺瘤
图片尺寸984x752
胸腔里悄悄长了一个比拳头还大的肿瘤,每年这个常规动作很重要
图片尺寸1080x810
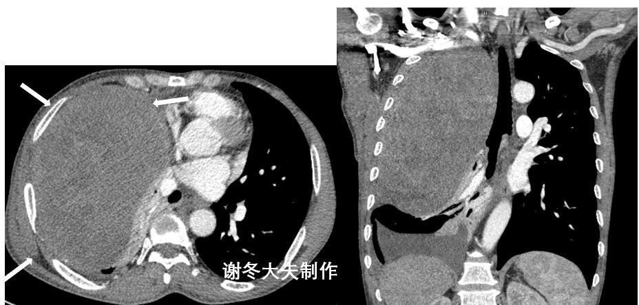
左前纵隔胸腺囊肿右胸腔巨大胸腺囊肿三,胸腺囊肿怎么治疗.
图片尺寸857x542
前纵隔肿瘤 胸腔镜下纵隔肿瘤切除 - 好大夫在线
图片尺寸2304x1728
省立影像读片前纵隔肿瘤2109
图片尺寸1080x608
纵隔肿瘤的快速康复 - 好大夫在线
图片尺寸4000x3000
ct横断位见左侧胸腔心脏后方一个巨大的纵隔肿瘤,呈现脂肪密度,中间
图片尺寸1081x834![【求助】前纵隔肿瘤 [病例帖]](https://i.ecywang.com/upload/1/img1.baidu.com/it/u=3916939084,2417362257&fm=253&fmt=auto&app=138&f=JPEG?w=388&h=500)
【求助】前纵隔肿瘤 [病例帖]
图片尺寸1479x1908![【求助】前纵隔肿瘤 [病例帖]](https://i.ecywang.com/upload/1/img0.baidu.com/it/u=2337598984,1231404970&fm=253&fmt=auto&app=138&f=JPEG?w=388&h=500)
【求助】前纵隔肿瘤 [病例帖]
图片尺寸1479x1908
本病例考虑到肿瘤范围大,与血管,心包,肺等均有密切关系,经左胸胸腔镜
图片尺寸1200x1600
纵隔肿瘤_纵隔肿瘤相关疾病 - 好大夫在线
图片尺寸928x444
哪种适合微创手术?_纵隔肿瘤_纵隔肿瘤相关疾病 - 好大夫在线
图片尺寸1280x935
胸外科最近收治一名18岁的小姑娘,体检发现胸腔内一个巨大肿瘤,直径达
图片尺寸1242x1242
胸骨肋缘下胸腔镜纵隔肿瘤切除术
图片尺寸2666x2000
患者,女性,73岁,咳嗽,咳痰10余天,在当地医院行平扫诊断为纵膈肿瘤
图片尺寸5120x5120
胸科医院胸心联合多学科团队施行复杂高难度纵隔肿瘤切除术
图片尺寸1080x548
伴囊壁钙化左前纵隔胸腺囊肿,伴囊壁钙化左前纵隔胸腺囊肿右胸腔巨大
图片尺寸813x623
肇庆二院:为32岁女子切除4.5公斤巨大纵隔肿瘤
图片尺寸756x972
于10月30日顺利地实施了胸腔镜下复杂纵隔肿瘤切除术
图片尺寸650x489
左胸腔巨大肿瘤,左肺完全肺不张,纵隔右移!
图片尺寸2667x2000