胸腺残留

出生时胸腺重约 25 g,青春期生长到顶峰,约 35~50 g,青春期后开始萎缩
图片尺寸640x720
还是在残留的胸腺组织内.
图片尺寸555x477
专家大讲堂ct对胸腺偶发结节的诊断和评价
图片尺寸960x720
心脏结构畸形可被误诊为胸腺肿瘤,详细检查可以鉴别
图片尺寸640x480
科学普及生命的心脏起搏器胸腺
图片尺寸600x400
胸腺退化不全是什么意思,ct表现,跟胸腺残留,胸腺增生或胸腺瘤有什么
图片尺寸329x259
一名重症肌无力胸腺瘤患者的坎坷治疗经历
图片尺寸452x349
影像基础胸腺瘤的分类分期及ct表现归纳
图片尺寸709x648
医院车祸病历证明图片b超病理检查证明体检报告恶性胸腺瘤病历图
图片尺寸660x495
胸腺的胸腺疾病
图片尺寸600x428
医院车祸病历证明图片b超病理检查证明体检报告恶性胸腺瘤病历图
图片尺寸660x880
胸腺瘤复发能有哪些症状? - 好大夫在线
图片尺寸960x720
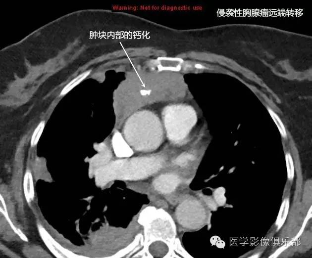
前纵隔巨大胸腺瘤切除 右侧中上肺切除术 胸膜多发结节切除术
图片尺寸2000x3556
前纵隔结节胸腺退化不全是什么ct表现跟胸腺残留胸腺增生或胸腺瘤有
图片尺寸551x355
胸腺退化后t细胞在哪里成熟
图片尺寸2048x1532
胸腺瘤基础影像
图片尺寸630x522
请问这考虑是未退化的胸腺吗
图片尺寸3000x4000
胸腺上皮性肿瘤最新组织学分型临床分期影像表现
图片尺寸1391x1052
前纵隔结节胸腺退化不全是什么ct表现跟胸腺残留胸腺增生或胸腺瘤有
图片尺寸1165x536
胸腔镜治疗胸腺瘤与重症肌无力
图片尺寸250x232