胸腺瘤症状

乳腺癌图片_乳腺癌症状表现图片大全_有来医生
图片尺寸539x500
胸口长个瘤,这是啥病?能治疗好吗?
图片尺寸500x375
概述 就诊科室: 呼吸内科,肿瘤科 是否医保: 是 英文名称
图片尺寸1005x669
胸口上面长了很多肉粒 其中最大的一颗直径大概有2
图片尺寸768x1024
胸腺瘤影像诊断及分期
图片尺寸960x720
胸口从小就长的瘤子一样的东西,求专家指点一下这是什么东西,可以去掉
图片尺寸864x1152
胸腺瘤的症状
图片尺寸1920x1080
黄勇老师,胸腺瘤精准影像 (上)
图片尺寸800x600
胸腺瘤的诊断和外科治疗ppt
图片尺寸1080x810
笑看人生之胸腺瘤
图片尺寸1080x1440
女性,59岁,体检x线发现前上纵膈占位,考虑胸腺瘤,无重症肌无力症状
图片尺寸962x1296
胸腺瘤,胸腺瘤如何治疗,胸腺瘤的症状-内科-心内科-寻医问药-xywy.com
图片尺寸300x220
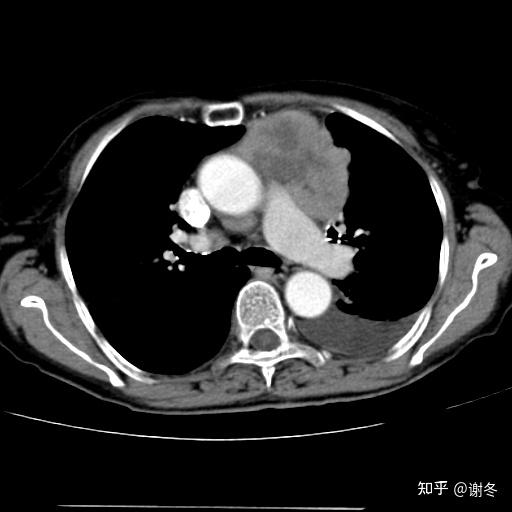
咳嗽咳痰,乏力,体重下降等,与胸腺瘤极为相似,部分患者可无任何症状
图片尺寸512x512
胸腺瘤_胸腺瘤治疗方式 - 好大夫在线
图片尺寸1440x1600
胸腺瘤的概述及胸腔镜微创的不同手术途径_胸腺瘤_介绍_治疗方式 - 好
图片尺寸1080x720
胸腺瘤纵隔肿瘤怎么办
图片尺寸536x381
胸腺瘤是癌症吗胸腺瘤分型有哪些症状胸腺瘤怎样治疗是恶性吗纵隔肿瘤
图片尺寸682x544
胸腺瘤/前纵隔占位/前纵隔结节是癌症吗
图片尺寸640x480
胸部ct发现胸腺瘤
图片尺寸1097x909
胸腺瘤_胸腺瘤_介绍_检查_治疗方式 - 好大夫在线
图片尺寸640x744