胸腺ct图片位置图解

掌握胸部 ct 影像,你只差这一个图谱的距离
图片尺寸640x480
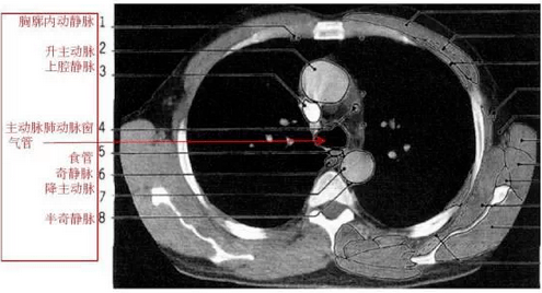
36_正常胸部ct读片
图片尺寸660x480
增强ct是否能判断胸腺瘤是良性还是恶性的
图片尺寸630x500
胸部ct影像示意图ppt
图片尺寸1080x810
胸部纵隔窗ct高清解剖图谱,附带详细标注
图片尺寸640x670
精华,胸部ct读片 解剖
图片尺寸640x495
详尽的胸部ct影像示意图
图片尺寸579x365
胸部ct 肺窗
图片尺寸1080x1920
ct入门结合解剖谈正常胸部ct读片
图片尺寸960x720
呼吸内科医生胸部ct读片
图片尺寸1110x800
详尽的胸部ct影像示意图
图片尺寸521x312
详尽的胸部ct影像示意图
图片尺寸583x341
胸部ct影像示意图ppt
图片尺寸1080x810
增强ct是否能判断胸腺瘤是良性还是恶性的
图片尺寸1087x588
详尽的胸部ct影像示意图
图片尺寸580x342
胸ct发现前纵隔或胸腺区病变怎么办?
图片尺寸494x388
详尽的胸部ct影像示意图
图片尺寸525x341
详尽的胸部ct影像示意图
图片尺寸495x268
专家大讲堂ct对胸腺偶发结节的诊断和评价
图片尺寸960x720
详尽的胸部ct影像示意图
图片尺寸581x333