胸膜下结节ct图片

胸膜下多发结节待查
图片尺寸2000x2666![胸部不适一年,ct检查发现右胸膜下结节.[两周后公布结果]](https://i.ecywang.com/upload/1/img0.baidu.com/it/u=2761647519,1588156460&fm=253&fmt=auto&app=138&f=JPEG?w=650&h=500)
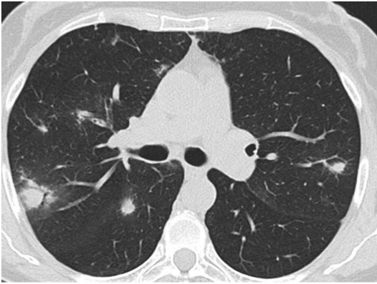
胸部不适一年,ct检查发现右胸膜下结节.[两周后公布结果]
图片尺寸1560x1200
双侧胸膜下结节
图片尺寸3456x4608![胸部不适一年,ct检查发现右胸膜下结节.[两周后公布结果]](https://i.ecywang.com/upload/1/img2.baidu.com/it/u=3281515790,3217228278&fm=253&fmt=auto&app=138&f=JPEG?w=650&h=500)
胸部不适一年,ct检查发现右胸膜下结节.[两周后公布结果]
图片尺寸1560x1200
判断胸部ct报告肺胸膜下结节的性质,不但要看小结节的大小,也要
图片尺寸1362x954
右肺中叶胸膜下结节,巨恐,请大咖帮忙分析下
图片尺寸1440x2560
肺结节位于胸膜下更加危险吗,更容易转移吗?需要积极手术吗?
图片尺寸1192x901
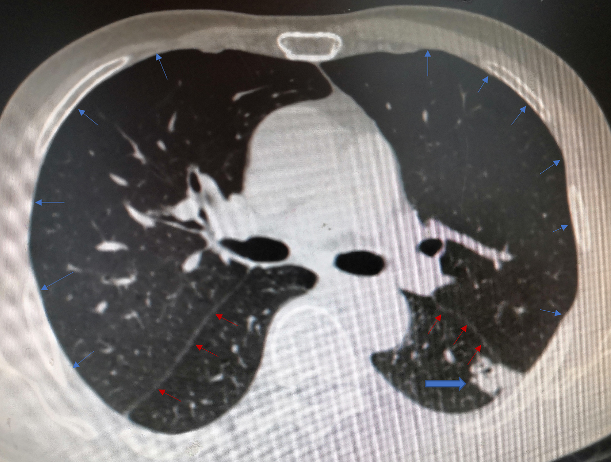
胸膜下反复变化的多发结节,这个患者究竟是什么病?
图片尺寸528x398
丁香园论坛
图片尺寸2448x2448
丁香园论坛
图片尺寸2448x2448
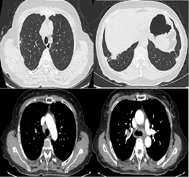
2021 年 7 月查胸部 ct 提示:双肺多发实性结节,双侧胸膜结节样增厚.
图片尺寸622x582![【读片】胸膜下结节(病理已公布) [病例帖]](https://i.ecywang.com/upload/1/img1.baidu.com/it/u=3753090812,1965100390&fm=253&fmt=auto&app=138&f=JPEG?w=500&h=1161)
【读片】胸膜下结节(病理已公布) [病例帖]
图片尺寸1500x3484![【读片】胸膜下结节(病理已公布) [病例帖]](https://i.ecywang.com/upload/1/img2.baidu.com/it/u=2755275469,921094107&fm=253&fmt=auto&app=138&f=JPEG?w=500&h=1465)
【读片】胸膜下结节(病理已公布) [病例帖]
图片尺寸640x1875![胸部不适一年,ct检查发现右胸膜下结节.[两周后公布结果]](https://i.ecywang.com/upload/1/img2.baidu.com/it/u=2531253013,893108947&fm=253&fmt=auto&app=138&f=JPEG?w=500&h=385)
胸部不适一年,ct检查发现右胸膜下结节.[两周后公布结果]
图片尺寸1560x1200
胸膜结节,求诊断.
图片尺寸780x1040
胸膜下多发结节待查
图片尺寸2000x2666
例如:韩医生:ct报告说的胸膜下结节,一般就是指脏层胸膜下的结节,在ct
图片尺寸1280x720
中年女性头晕入院ct发现胸膜多发结节请分析有结果
图片尺寸512x512
肺部ct永远不会出现这8种情况: 1,右肺下叶胸膜下可疑磨玻璃小结节影
图片尺寸1606x1280
丁香园论坛
图片尺寸2448x2448