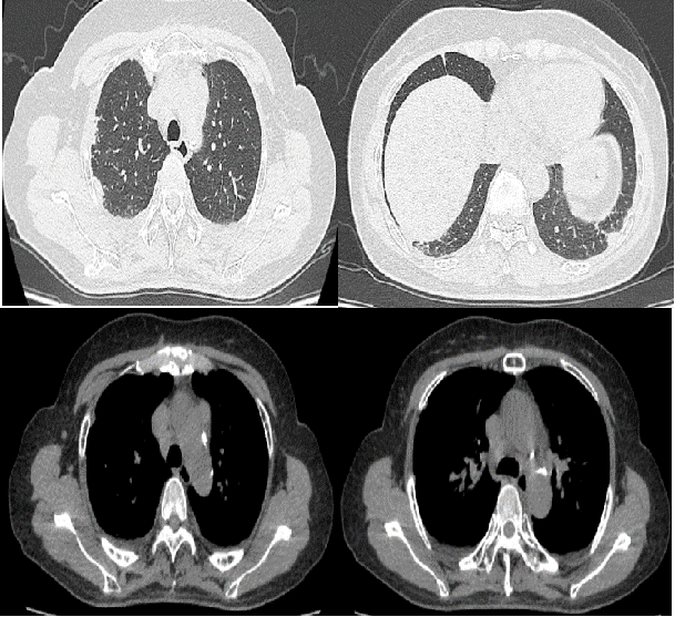
胸膜多发结节

中年女性头晕入院ct发现胸膜多发结节请分析有结果
图片尺寸512x512![胸膜多发结节(有病理) [病例帖]](https://i.ecywang.com/upload/1/img0.baidu.com/it/u=3608215130,1346353519&fm=253&fmt=auto&app=138&f=JPEG?w=500&h=500)
胸膜多发结节(有病理) [病例帖]
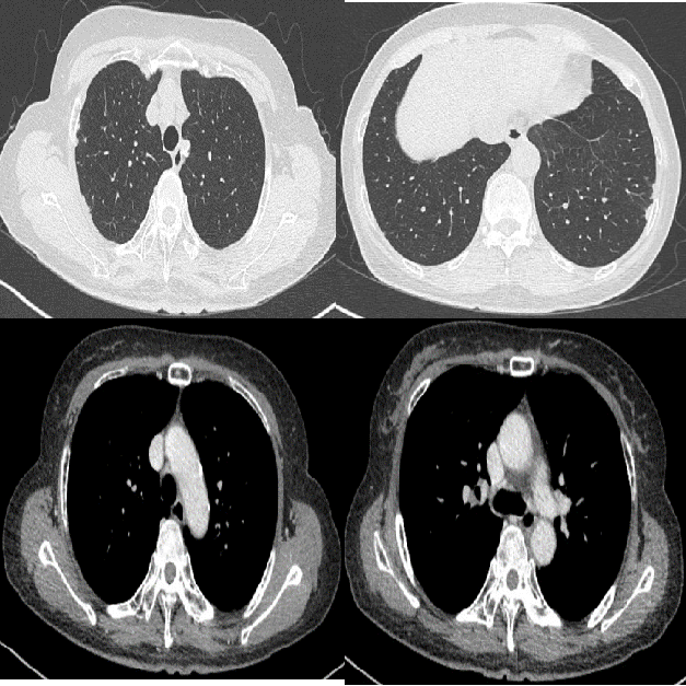
图片尺寸2448x2448![胸膜多发结节(有病理) [病例帖]](https://i.ecywang.com/upload/1/img2.baidu.com/it/u=1722758428,2427574524&fm=253&fmt=auto&app=138&f=JPEG?w=500&h=500)
胸膜多发结节(有病理) [病例帖]
图片尺寸2448x2448
胸膜下反复变化的多发结节,这个患者究竟是什么病?
图片尺寸609x557
5种常见肺结节样子.图1:正常的肺ct 图2:肺部膜玻璃结节 - 抖音
图片尺寸1440x2160![胸膜多发结节(有病理) [病例帖]](https://i.ecywang.com/upload/1/img0.baidu.com/it/u=1881083470,1195105181&fm=253&fmt=auto&app=138&f=JPEG?w=500&h=500)
胸膜多发结节(有病理) [病例帖]
图片尺寸2448x2448
胸膜下反复变化的多发结节,这个患者究竟是什么病?
图片尺寸627x627![胸膜多发结节(有病理) [病例帖]](https://i.ecywang.com/upload/1/img0.baidu.com/it/u=3165904089,1348782929&fm=253&fmt=auto&app=138&f=JPEG?w=500&h=500)
胸膜多发结节(有病理) [病例帖]
图片尺寸2448x2448![胸膜多发结节(有病理) [病例帖]](https://i.ecywang.com/upload/1/img0.baidu.com/it/u=2364182622,2030466674&fm=253&fmt=auto&app=138&f=JPEG?w=500&h=500)
胸膜多发结节(有病理) [病例帖]
图片尺寸2448x2448![胸膜多发结节(有病理) [病例帖]](https://i.ecywang.com/upload/1/img2.baidu.com/it/u=3823750290,94773231&fm=253&fmt=auto&app=138&f=JPEG?w=500&h=500)
胸膜多发结节(有病理) [病例帖]
图片尺寸2448x2448![胸膜多发结节(有病理) [病例帖]](https://i.ecywang.com/upload/1/img1.baidu.com/it/u=2354531781,2339356337&fm=253&fmt=auto&app=138&f=JPEG?w=500&h=500)
胸膜多发结节(有病理) [病例帖]
图片尺寸2448x2448![胸膜多发结节(有病理) [病例帖]](https://i.ecywang.com/upload/1/img0.baidu.com/it/u=2099892782,1749154337&fm=253&fmt=auto&app=138&f=JPEG?w=500&h=500)
胸膜多发结节(有病理) [病例帖]
图片尺寸2448x2448
胸膜下多发结节待查
图片尺寸2000x2666
胸膜下多发结节待查
图片尺寸2000x2666
网友咨询这个结节? 答:手术,胸膜凹陷很厉害,有突破胸膜的风险
图片尺寸1260x2388
17):35岁发现肺结节已经2年余,约5毫米但靠胸膜近,需要尽早手术切除吗
图片尺寸878x690
患者右肺上叶磨玻璃结节复查发现右下叶胸膜下出现一结节
图片尺寸4032x3024
很多朋友在做完胸部ct后,看到提示"肺结节靠近胸膜","胸膜牵拉",就
图片尺寸690x668
患者右肺上叶磨玻璃结节复查发现右下叶胸膜下出现一结节
图片尺寸4032x3024
ct提示双侧胸膜多发结节内科胸腔镜下视野好,找到病灶进行冷冻活检
图片尺寸550x537