胸膜炎检查报告

自行吃药一月未果,内科电子胸腔镜让"水"落"实"出_检查_卢大姐_胸膜
图片尺寸1080x1392
县级转入的2个病例确诊后都放弃治疗了如何避免漏诊误诊
图片尺寸523x226
术前术后病理结果结合病史,影像学,结核感染t细胞检测,结核性胸膜炎可
图片尺寸412x550
注:发病数与死亡数按照终审日期进行统计;*:艾滋病死亡数是累计报告
图片尺寸657x1550
附件2四川省教师资格申请人员体格检查表1.以上内容由受检者如实填写.
图片尺寸627x825
结核性胸膜炎:胸部影像学对结核性胸膜炎仅能发现胸腔积液,单纯从
图片尺寸952x360
乙型肝炎,丙型肝炎,丁型肝炎,戊型肝炎,未分型肝炎报告发病数,死亡数
图片尺寸500x1293
国家卫健委5月全国共报告法定传染病519156例
图片尺寸597x780
肺不张病
图片尺寸220x191
这个考点你不能不会_小时_正确率_训练营
图片尺寸737x476
术前术后病理结果结合病史,影像学,结核感染t细胞检测,结核性胸膜炎可
图片尺寸412x550
术前术后病理结果结合病史,影像学,结核感染t细胞检测,结核性胸膜炎可
图片尺寸412x550
急性渗出性胸膜炎
图片尺寸296x300
图片浏览
图片尺寸252x300
结果染上这种病_肺吸虫_寄生_肺部
图片尺寸437x367
毅,通讯员张全录)黄石一老人最近接连吐血,在武汉市肺科医院检查发现
图片尺寸582x800
需要通过以下检查并进一步综合确定:擅长:肺结核,结核性胸膜炎,结核性
图片尺寸1000x664
8月份全国共报告新冠肺炎确诊病例1893例无死亡报告
图片尺寸628x341
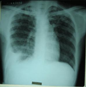
经过相关完善检查,提示确诊为慢阻肺,胸膜炎,伴有少量积液
图片尺寸580x434
②,胸膜及肺组织病变:如右侧结核性胸膜炎,气胸,脓胸,血胸,肺炎,支
图片尺寸640x410