胸膜炎诊断报告单

自行吃药一月未果,内科电子胸腔镜让"水"落"实"出_检查_卢大姐_胸膜
图片尺寸1080x1392
影像学,结核感染t细胞检测,结核性胸膜炎可明确诊断,患者确诊后转诊我
图片尺寸412x550
初步诊断:1.肺部阴影待查;2.胸腔积液.
图片尺寸523x226
国家卫健委5月全国共报告法定传染病519156例
图片尺寸640x768
多年前病灶"死而复生" 爹爹胸内生"利剑"致咯血
图片尺寸582x800
肺不张病
图片尺寸220x191
国家卫健委5月全国共报告法定传染病519156例
图片尺寸597x780
中英金多多6号分红型增额终身险,健康告知问到什么?
图片尺寸1269x650
注:发病数与死亡数按照终审日期进行统计;*:艾滋病死亡数是累计报告
图片尺寸657x1550
图片浏览
图片尺寸296x300
乙型肝炎,丙型肝炎,丁型肝炎,戊型肝炎,未分型肝炎报告发病数,死亡数
图片尺寸500x1293
图片浏览
图片尺寸252x300
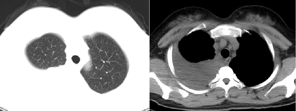
结核性胸膜炎:胸部影像学对结核性胸膜炎仅能发现胸腔积液,单纯从
图片尺寸952x360
不良饮食致食道病变颗粒难进医生成功让胃兼职食道挽救患者
图片尺寸545x410
需要通过以下检查并进一步综合确定:擅长:肺结核,结核性胸膜炎,结核性
图片尺寸1000x664
急性渗出性胸膜炎图片_百度百科
图片尺寸150x120
结果染上这种病_肺吸虫_寄生_肺部
图片尺寸437x367
急性肝炎,药物中毒性肝坏死,肝癌,肝硬化,慢性肝炎,心肌炎,胸膜炎
图片尺寸1065x713![[1] 为何氏祖传苗药医馆的祖传秘方,何氏根据结核性胸膜炎之病因](https://i.ecywang.com/upload/1/img0.baidu.com/it/u=2800432241,2840875373&fm=253&fmt=auto&app=138&f=JPEG?w=220&h=220)
[1] 为何氏祖传苗药医馆的祖传秘方,何氏根据结核性胸膜炎之病因
图片尺寸220x220