胸膜牵拉图片

医联媒体科普说造成胸膜牵拉一定就是恶性结节吗医生说出了真相
图片尺寸1080x1920
蓝色示胸膜牵拉;粉色示实性部分密度较均匀;整体看缺乏膨胀感,收缩
图片尺寸640x640
典型周围型肺癌伴胸膜牵拉一例
图片尺寸343x246
混合磨玻璃结节胸膜牵拉我的果断建议
图片尺寸887x729
刘懿博士说肺癌四一一三有胸膜牵拉的磨玻璃结节一定是肺癌么
图片尺寸1200x1600
(图4)病灶周围的胸膜牵拉,影像学表现——胸膜凹陷征.
图片尺寸512x512
肺结节出现分叶毛刺胸膜牵拉就一定是恶性吗
图片尺寸3413x1920
1477916196.png
图片尺寸750x1334
胸膜凹陷征表现为规则线条影自结节牵拉胸膜,胸膜凹入形成典型喇叭口
图片尺寸1080x1439
1年半前的ct:肺窗病灶特点毛刺征,胸膜牵拉征,分页征.
图片尺寸2667x2000
空泡和胸膜牵拉的价值你清楚吗
图片尺寸665x665
肺结节伴胸膜牵拉,毛刺是癌吗?肿瘤科医生患肺结节也焦虑
图片尺寸640x853
这位71岁的老爷子,驼背,近期胸背疼,胸部ct发现左下肺肿瘤,有胸膜牵拉
图片尺寸591x537
定 义:胸膜腔为脏层胸膜与壁层胸膜之间的密闭腔隙.
图片尺寸1917x1293
的结节内有一个小小的空洞,局部有不规则实性成分,虽然没有胸膜牵拉
图片尺寸1080x680
1477916188.png
图片尺寸750x1334
肺结节伴胸膜牵拉,毛刺是癌吗?肿瘤科医生患肺结节也焦虑
图片尺寸640x875
刘懿博士说肺癌(三五九三)结节牵拉胸膜预示肺癌可能侵犯胸膜了_肺癌
图片尺寸1600x1306
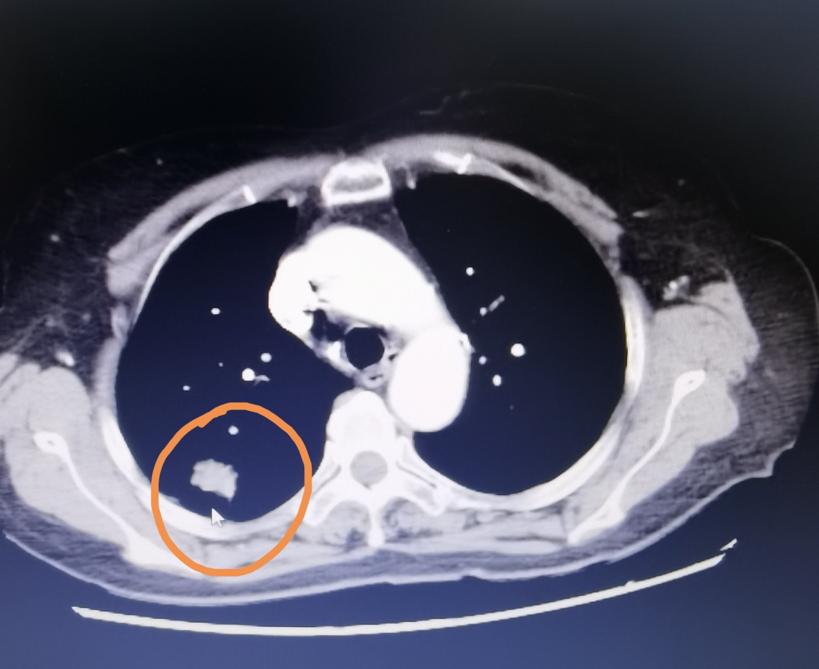
是个混合磨玻璃结节,恶性征象比较多,有分叶征,血管穿行征,胸膜牵拉
图片尺寸640x369
混合磨玻璃结节,伴有胸膜牵拉——肺腺癌
图片尺寸2000x2667