胸膜瘤

胸膜的那些瘤
图片尺寸612x322
胸膜恶性间皮瘤
图片尺寸2000x2667
一文理清胸膜间皮瘤的诊断要点_网易订阅
图片尺寸650x430
24个病例带你读懂胸膜孤立性纤维瘤
图片尺寸960x720
恶性胸膜间皮瘤
图片尺寸640x480
胸腺瘤伴胸膜腔转移的病人的新希望!_胸腺瘤 - 好大夫在线
图片尺寸1440x1600
胸膜的那些瘤
图片尺寸468x352
术后病理提示:胸膜钙化瘤.
图片尺寸1080x808
"胸膜转移瘤" 的ct特点及鉴别
图片尺寸585x371
胸膜肺母细胞瘤(张嵩)
图片尺寸711x550
遇到恶性胸膜间皮瘤莫慌张
图片尺寸724x571
胸膜恶性间皮瘤一例
图片尺寸640x573
胸膜恶性间皮瘤
图片尺寸2000x2667
胸膜恶性肿瘤考虑转移瘤
图片尺寸1080x1440
怀疑胸膜瘤病人各位同仁不吝赐教一下
图片尺寸3264x2448
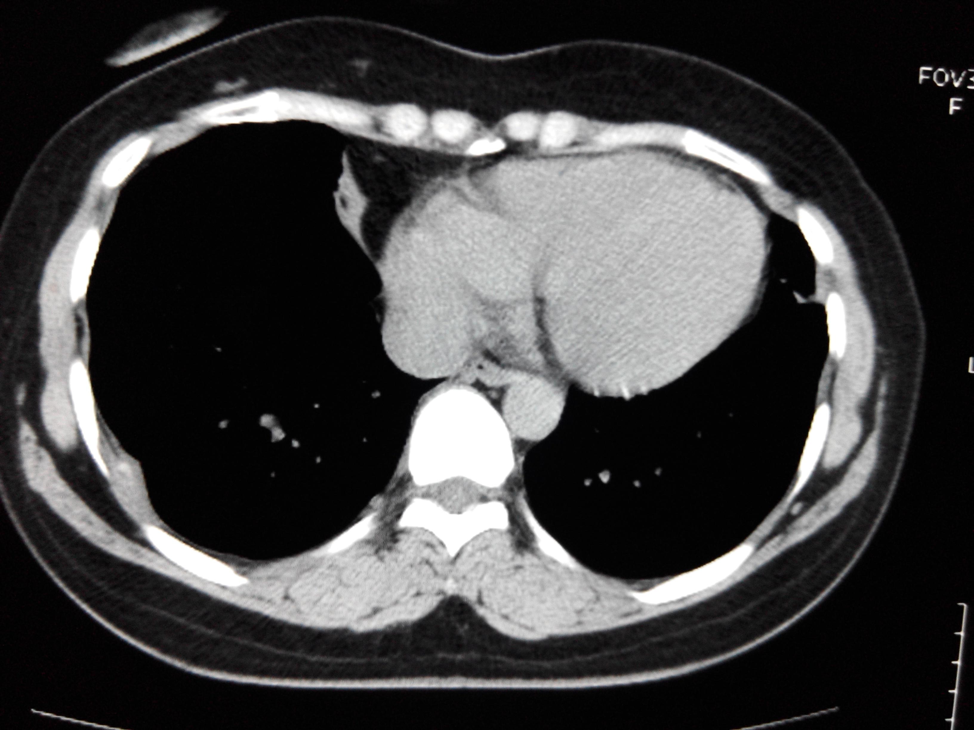
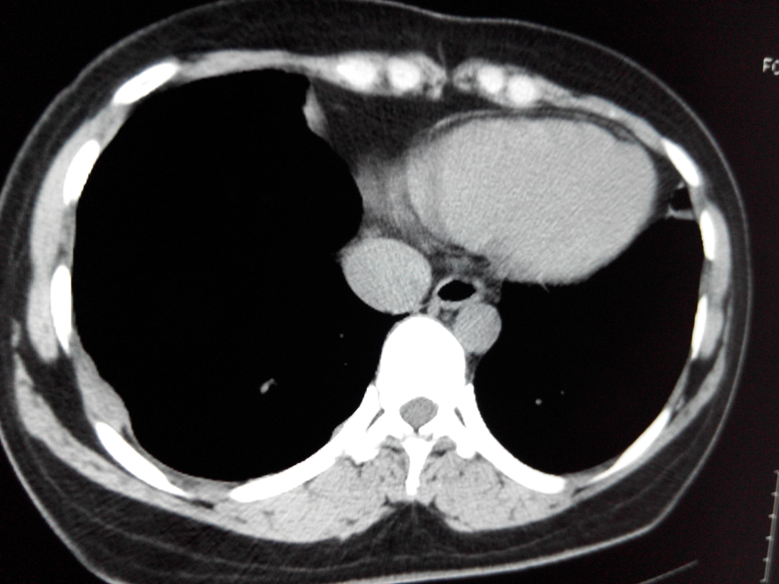
优质病例男58岁发现左侧胸膜占位10个月
图片尺寸512x512
怀疑胸膜瘤病人各位同仁不吝赐教一下
图片尺寸3264x2448
24个病例带你读懂胸膜孤立性纤维瘤
图片尺寸960x720
胸膜侵犯与胸膜播散是一回事吗?
图片尺寸828x1119
胸膜转移瘤 的ct表现及鉴别诊断,花5分钟时间看完
图片尺寸601x465