胸膜粘连x线

胸膜粘连
图片尺寸2532x2881
我的右侧胸膜增厚粘连,严重不?
图片尺寸1280x960
胸膜粘连
图片尺寸220x165
胸部正常解剖ppt
图片尺寸1080x810
凉州区中西医结合医院呼吸内科经胸腔镜顺利完成一例广泛胸膜粘连检查
图片尺寸1080x3058
胸膜粘连的症状诊断以及治疗
图片尺寸640x745
左侧胸膜带状肥厚粘连合并胸膜肥厚粘连2.jpg
图片尺寸924x829
昨天去医院检查大夫说得了胸膜炎右肺和肋骨粘连在一起了大伙儿帮我
图片尺寸640x853
这是肺纤维化,胸膜粘连还是肺韧带? - 儿科专业讨论版 -丁香园论坛
图片尺寸3024x3024
这是肺纤维化,胸膜粘连还是肺韧带? - 儿科专业讨论版 -丁香园论坛
图片尺寸3024x3024
胸膜疾病影像表现
图片尺寸1080x810
胸部x线照片
图片尺寸900x1200
这是肺纤维化,胸膜粘连还是肺韧带? - 儿科专业讨论版 -丁香园论坛
图片尺寸3024x3024
胸膜增厚要不要紧大部分情况是以前病变留下的疤痕
图片尺寸1080x970
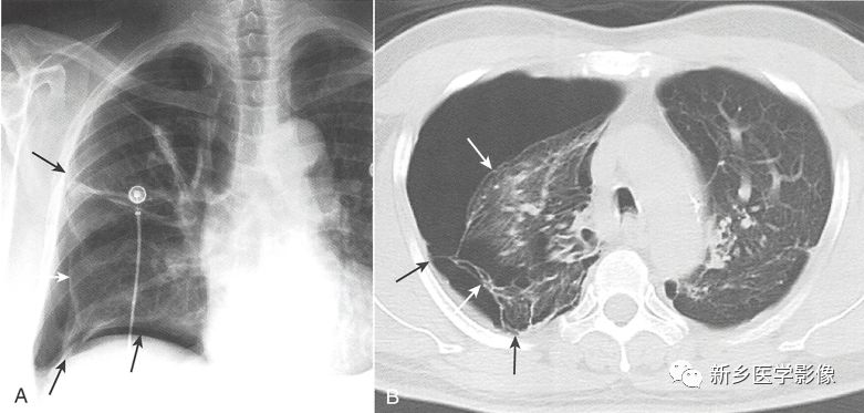
诊断误区:胸膜粘连时,即使在发生气胸的情况下,也可能会出现部分而非
图片尺寸781x373
胸膜5大基本病变,必须掌握的医学影像基础 67!_手机搜狐网
图片尺寸434x444
bmj胸腔积液的诊疗
图片尺寸526x535
胸部x线片示左侧心尖少量气胸,邻近胸膜粘连.
图片尺寸1200x671
左侧胸膜反应?
图片尺寸2304x3072
胸片的胸片作用
图片尺寸1724x2011