胼胝体动静脉畸形

胼胝体动静脉畸形
图片尺寸1080x1111
胼胝体发育不全解析
图片尺寸4032x1788
小儿脑动静脉畸形急诊手术治愈病例
图片尺寸328x438
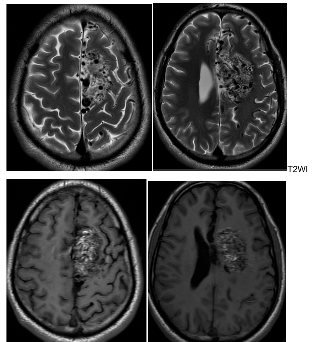
介入栓塞治疗4岁儿童胼胝体头端动静脉畸形1例
图片尺寸2665x1999
介入栓塞治疗4岁儿童胼胝体头端动静脉畸形1例
图片尺寸2587x1799
介入栓塞治疗4岁儿童胼胝体头端动静脉畸形1例
图片尺寸1878x2204
小儿胼胝体部动静脉血管畸形介入治疗(xiongqihang)
图片尺寸1199x1277
小儿胼胝体部动静脉血管畸形介入治疗(xiongqihang)
图片尺寸1199x1251
小儿胼胝体部动静脉血管畸形介入治疗(xiongqihang)
图片尺寸1199x1402
前循环入路栓塞颅内动静脉畸形两例
图片尺寸1080x1080
介入栓塞治疗4岁儿童胼胝体头端动静脉畸形1例
图片尺寸750x992
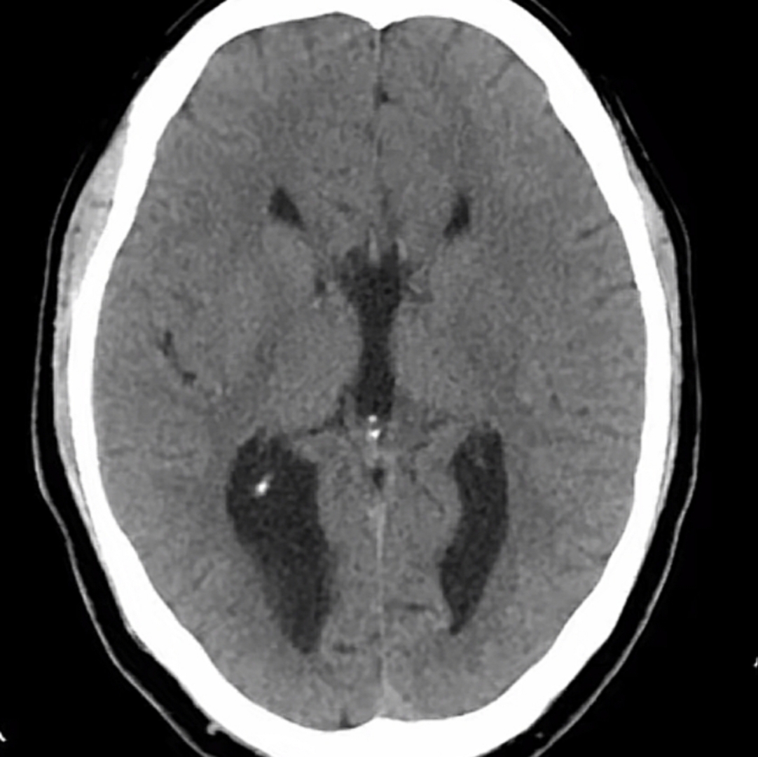
颅脑ct示,右侧额顶深部胼胝体压
图片尺寸1080x1201
介入栓塞治疗4岁儿童胼胝体头端动静脉畸形1例
图片尺寸1480x1731
介入栓塞治疗胼胝体动静脉畸形
图片尺寸508x384
介入栓塞治疗4岁儿童胼胝体头端动静脉畸形1例
图片尺寸1924x1881
介入栓塞治疗4岁儿童胼胝体头端动静脉畸形1例
图片尺寸2665x1999
胼胝体发育不全解析
图片尺寸1496x3036
小儿胼胝体部动静脉血管畸形介入治疗(xiongqihang)
图片尺寸1199x1213
胼胝体发育不良(dysgenesisof the corpus
图片尺寸912x1124
伴脂肪瘤是胼胝体发育异常和脂肪瘤并存,是最常见的颅脑先天性畸形
图片尺寸1082x1080