胼胝体胶质瘤

胼胝体胶质瘤一例
图片尺寸739x430
双额叶胼胝体胶质瘤_胶质瘤 - 好大夫在线
图片尺寸800x774
双侧胼胝体体部胶质瘤_胶质瘤 - 好大夫在线
图片尺寸691x800
ppt| 累及胼胝体的脑胶质瘤手术切除 - 杨建凯 吕中强 孙国柱 宋剑
图片尺寸960x540
刘合明,男,66岁,双额胼胝体胶质瘤
图片尺寸1599x1199
胶质瘤死前三个月症状
图片尺寸500x614
胶质瘤
图片尺寸650x500
双额叶胼胝体胶质瘤_胶质瘤 - 好大夫在线
图片尺寸758x800
贺晓生教授:男性胶质瘤手术治疗实例
图片尺寸930x523
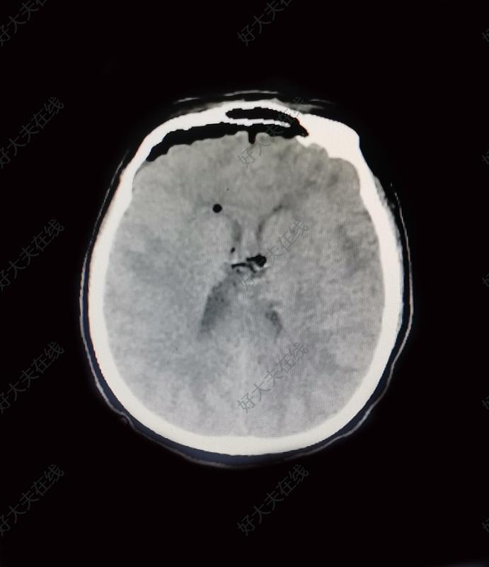
双额叶胼胝体胶质瘤_胶质瘤 - 好大夫在线
图片尺寸800x731
胶质瘤手术治疗实例分析
图片尺寸930x523
典型蝴蝶状胼胝体胶质瘤病例分析
图片尺寸619x369
磁共振成像引导下激光间质热疗litt治疗胼胝体胶质母细胞瘤
图片尺寸635x510
ppt| 累及胼胝体的脑胶质瘤手术切除 - 杨建凯 吕中强 孙国柱 宋剑
图片尺寸960x540
病例学习:胼胝体蝴蝶状病变 是胶质瘤还是转移瘤?
图片尺寸640x797
胶质瘤
图片尺寸800x500
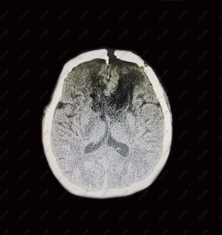
双额叶胼胝体胶质瘤_胶质瘤 - 好大夫在线
图片尺寸800x738
双额叶胼胝体高级别胶质瘤(右侧额叶为主)
图片尺寸1675x1033
胶质瘤
图片尺寸746x500
有症状的胶质瘤应积极手术,没有症状的胶质瘤,应严密观察,一旦有发展
图片尺寸1824x1368