脂肪肝ct平扫

脂肪肝的影像学诊断
图片尺寸960x720
肝内脂肪密度影
图片尺寸780x1040
一文读懂脂肪肝的影像学表现!
图片尺寸356x307
脂肪肝影像分度
图片尺寸1080x342
脂肪肝的ct表现
图片尺寸1275x720
弥漫性脂肪肝伴正常肝岛一例ct增强病例
图片尺寸493x455
脂肪肝的影像学诊断
图片尺寸960x720
平扫显示肝的密度降低,弥漫性脂肪浸润表现全肝密度降低.
图片尺寸635x468
增强扫描,肝岛表现与脂肪浸润区同步均匀强化.
图片尺寸640x1280
脂肪肝的影像学诊断
图片尺寸960x720
轻度脂肪肝也能要命最新研究数据引发脂肪肝人群高度不适
图片尺寸808x617
一文读懂脂肪肝的影像学表现!
图片尺寸554x389
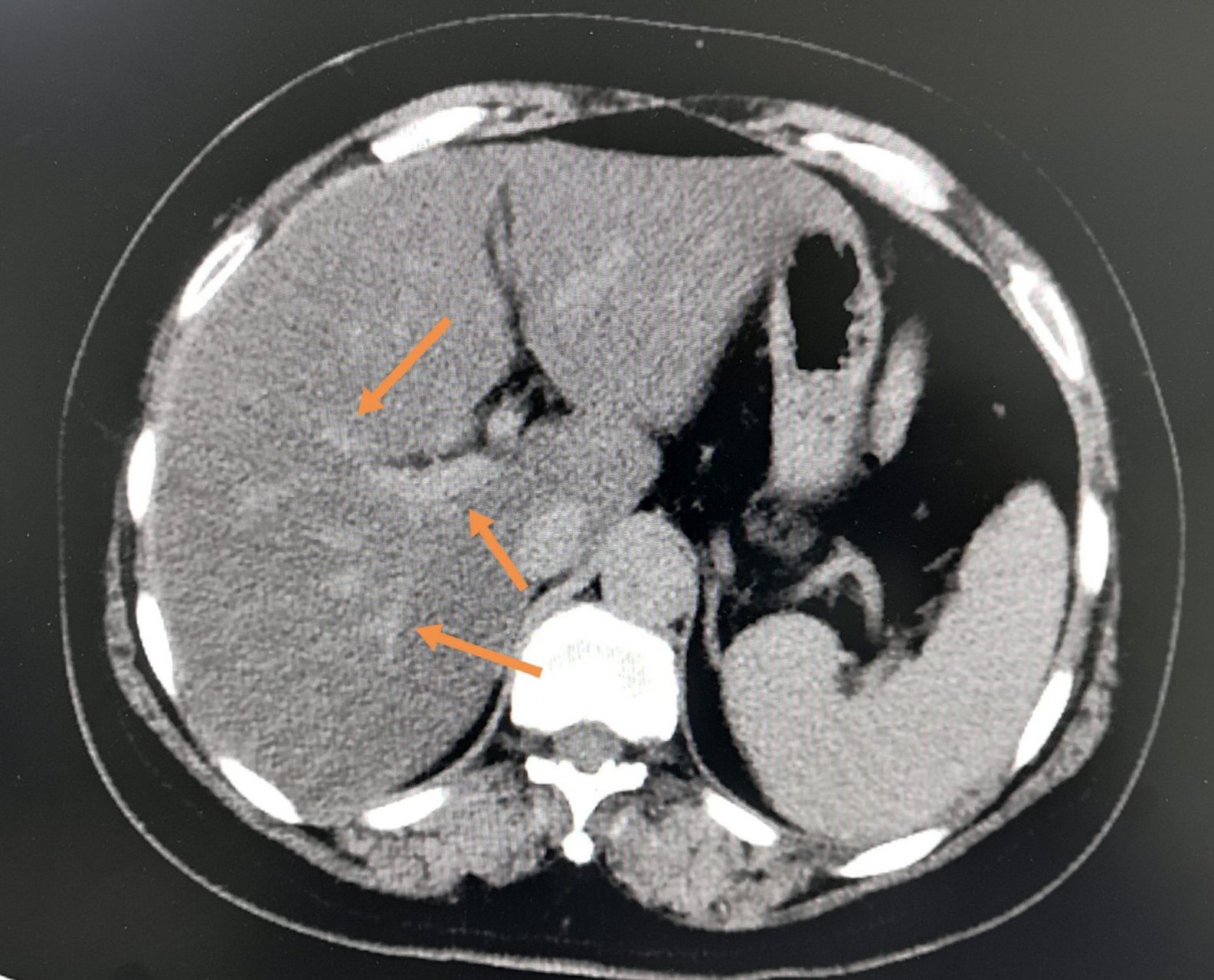
结核病史,afp,ca125和ca199正常 平扫ct值最低负45 脂质或油(成熟脂肪
图片尺寸2963x3307
一文读懂脂肪肝的影像学表现!
图片尺寸554x197
弥漫性脂肪肝伴正常肝岛一例ct增强病例
图片尺寸497x255
脂肪肝的影像学诊断
图片尺寸960x720
出现这些症状莫大意,小心是脂肪肝的征兆!
图片尺寸629x427
一文读懂脂肪肝的影像学表现!
图片尺寸554x451
脂肪肝的影像学诊断
图片尺寸960x720
我姑姑今年51岁,一辈子没有结婚,做了一辈子的老姑
图片尺寸1585x1280