脊椎骨折

脊柱骨折_脊柱骨折治疗方式 - 好大夫在线
图片尺寸1710x2535
内蒙古医科大学第二附属医院脊柱外科成功实施脊柱完全离断重建手术
图片尺寸436x565
腰椎骨折保守治疗效果较好 病例分享
图片尺寸680x680
高处跌落腰椎爆裂骨折
图片尺寸3456x4608
腰椎骨折保守治疗
图片尺寸1080x1439
经皮椎弓根螺钉复位内固定治疗腰2椎体爆裂性骨折(ssm)
图片尺寸2000x2667
脊椎骨折手术还是不手术?
图片尺寸3264x2448
胸腰椎骨折(中,青年)
图片尺寸1278x1080
脊椎骨折患者的福音
图片尺寸960x1280
【羊城晚报】老人突发腰痛,骨质疏松椎体骨折要注意!
图片尺寸1080x1080
微创骨水泥pkp治疗老年脊柱骨质疏松性骨折
图片尺寸1960x2830
我院脊柱外科成功治疗一例严重腰椎骨折脱位并神经损伤病人
图片尺寸600x809
这样的脊柱骨折你会做吗
图片尺寸2368x4208
腰椎骨折
图片尺寸3456x4608
腰椎骨折
图片尺寸680x907
年龄:25全部症状:车祸发病时间及原因:10天前遇车祸,经检查为脊椎骨折
图片尺寸1536x1450
微创手术系列四.《椎体成形技术治疗腰椎椎体陈旧性骨折》
图片尺寸1577x2102
胸12椎体骨折屈曲牵张型损伤
图片尺寸1198x1598
42岁司机开车时脊椎骨折开车时这个细节别再忽视
图片尺寸1080x665
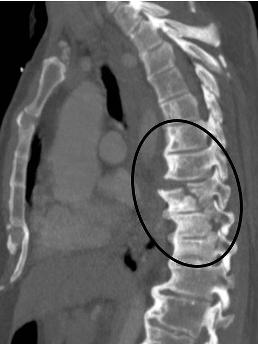
脊柱骨折
图片尺寸258x344