脊索瘤病理图片

脊索瘤最新病理分型
图片尺寸640x267
52例脊索瘤临床病理学观察2018
图片尺寸768x1024
骶尾部疼痛脊索瘤
图片尺寸680x506
脊索样胶质瘤的鉴别诊断 - 病理杂谈 - 91360智慧病理网
图片尺寸528x389
结论:脊索瘤是一组来源于脊索残留的肿瘤,因其解剖位置和组织病理学的
图片尺寸823x414
临床论著颅底脊索瘤原发和局部复发阶段的病理学变化特点及其预后意义
图片尺寸1080x449
不按常规生长的脊索瘤真难
图片尺寸787x582
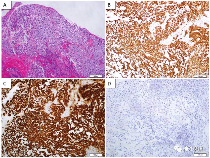
图3. 斜坡脊索瘤病理学检查结果.a.
图片尺寸640x483
图3. 斜坡脊索瘤病理学检查结果.a.
图片尺寸835x629
免疫组化结果提示脊索瘤
图片尺寸525x318
右鼻窦部活检脊索瘤(chordoma)病例2016.10.14【病理同学群病例40】
图片尺寸512x512
【携康追踪案例】质子治疗中国脊索瘤患者之三
图片尺寸1262x700
组织病理学确认为脊索瘤脑转移性,he 染色示胞间纤维隔膜和广泛的黏液
图片尺寸640x475
骶骨脊索瘤病例分享
图片尺寸960x720
颅内肿瘤之脊索瘤
图片尺寸1031x532
第三脑室脊索样胶质瘤一例神经病理系列十七浙二神外周刊第355期
图片尺寸987x814
质子治疗脊索瘤患者之一
图片尺寸1060x645
骶尾部脊索瘤讨论病例91360软组织382
图片尺寸300x300
骶尾部脊索瘤讨论病例91360软组织382
图片尺寸300x300
骶尾部脊索瘤讨论病例91360软组织382
图片尺寸4032x3024