脐带b超

2858儿发我发脐带螺旋检查最实用方法
图片尺寸1080x736
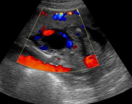
6,产前评估(孕37周):判断胎儿大小,胎位情况,有无脐带绕颈,能否顺产.
图片尺寸620x558
胎儿脐带绕颈4周!还能够脱困吗?
图片尺寸645x410
双胞胎脐带缠成"中国结",医生惊出了一身冷汗!_胎儿
图片尺寸622x429
双胞胎脐带缠成"中国结",医生惊出了一身冷汗!_胎儿
图片尺寸462x286
脐带囊肿
图片尺寸431x341
脐带帆状附着
图片尺寸268x203
脐带打结
图片尺寸268x201
脐带腹部入口处低回声包块,13mm×12mm×12mm,考虑胎儿脐膨出声像
图片尺寸546x410
其中一家医院的彩超报告单显示双胎儿各有脐带.
图片尺寸550x413
还需要通过做产前诊断,如羊水筛查或者抽脐带血检测,另外再做b超检查
图片尺寸720x462
【爱科学】胎儿在母腹中的生活_胎盘_脐带_羊水
图片尺寸1080x1082
胎儿脐带绕颈怎么办记住超声科医生的四点提示
图片尺寸4241x2651
孕23周双胞胎之间脐带打结成麻花不幸夭折太可惜了
图片尺寸760x735
在胎儿分化过程中,生殖结节由后腿间起始部位移向脐带为雄性,移向尾部
图片尺寸600x400
脐带扭转54圈成麻花医生真没见过
图片尺寸600x783
医维他活性叶酸|宝宝 "不老实",胎儿脐带绕颈怎么办?_运动_子宫_活动
图片尺寸364x302
子宫破裂,脐带脱垂,生死时速间,医院与死神抢时间救下3个宝宝_孕妇
图片尺寸1080x810
引起胎盘和脐带血流不足的因素有很多,比如胎盘功能减退,脐带扭转等.
图片尺寸640x320
胎宝宝在妈妈肚子里,除了拳打脚踢还有这些小活动_胎儿_脐带_因为
图片尺寸1028x759