脑室铸型

一例比较看似简单而又复杂的脑室铸型 - 神经外科专业讨论版 - 爱爱医
图片尺寸1536x2048
脑室铸型,开颅还是放管?(原创) - 神经外科专业讨论版 - 爱爱医医学论
图片尺寸4032x3024
脑出血伴脑室铸型-医联
图片尺寸617x512
医用大脑基底脑室铸型丘脑中枢神经杏仁放大解剖其他模型玩具
图片尺寸1124x1414
头颅ct解剖及诊断ppt_word文档在线阅读与下载_无忧文档
图片尺寸1080x810
分享一例基底节出血脑室铸型病例(原创) - 神经外科专业讨论版 - 爱爱
图片尺寸3264x2448
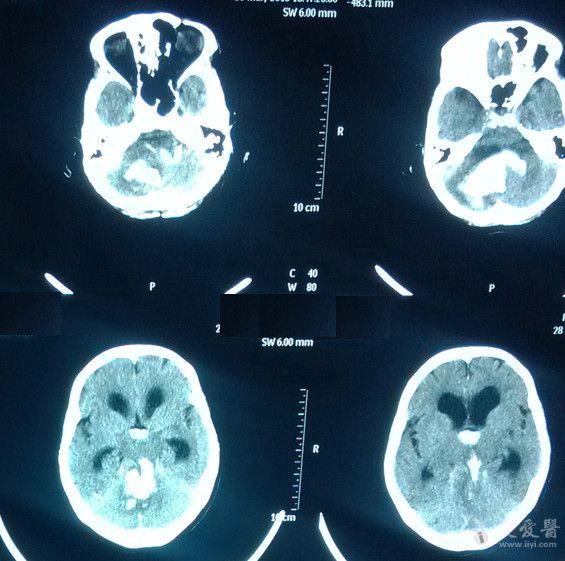
丘脑出血三脑室铸型 - 美篇
图片尺寸512x512
脑室
图片尺寸280x380
小脑出血四脑室铸形患者救治一例! - 好大夫在线
图片尺寸3120x4160
丘脑出血三脑室铸型 - 美篇
图片尺寸512x512
大脑基地核脑室铸型丘脑中枢神经杏仁核放大解剖模型脑科标本
图片尺寸750x750
患者男性,49岁.突发头痛,意识障碍半小时由120送至我科.入院时患者深
图片尺寸750x915
丘脑出血三脑室铸型 - 美篇
图片尺寸2667x2000
铸型标本-郑州升源教学设备有限公司
图片尺寸2048x1536
一例脑室出血并铸型病人的治疗体会 - 美篇
图片尺寸750x1333
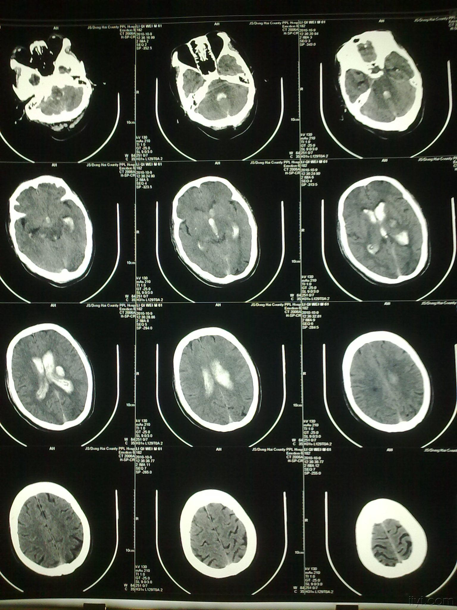
脑出血破入一侧脑室,一侧脑室铸型 - 神经外科专业讨论版 - 爱爱医医
图片尺寸1536x2048
小脑出血四脑室铸形患者救治一例! - 好大夫在线
图片尺寸4160x3120
丘脑出血三脑室铸型 - 美篇
图片尺寸2667x2000
两例小脑出血并破入脑室,四脑室铸型,请教. - 神经外科专业讨论版 -
图片尺寸565x561
脑出血破入一侧脑室,一侧脑室铸型 - 神经外科专业讨论版 - 爱爱医医
图片尺寸1536x2048