脑屏成像图片

中国科学家首次实现小鼠"深脑成像"
图片尺寸1707x1280
患脑癌儿子被母亲抛弃!
图片尺寸1903x2048
间脑镜头下的x光片
图片尺寸1024x1359
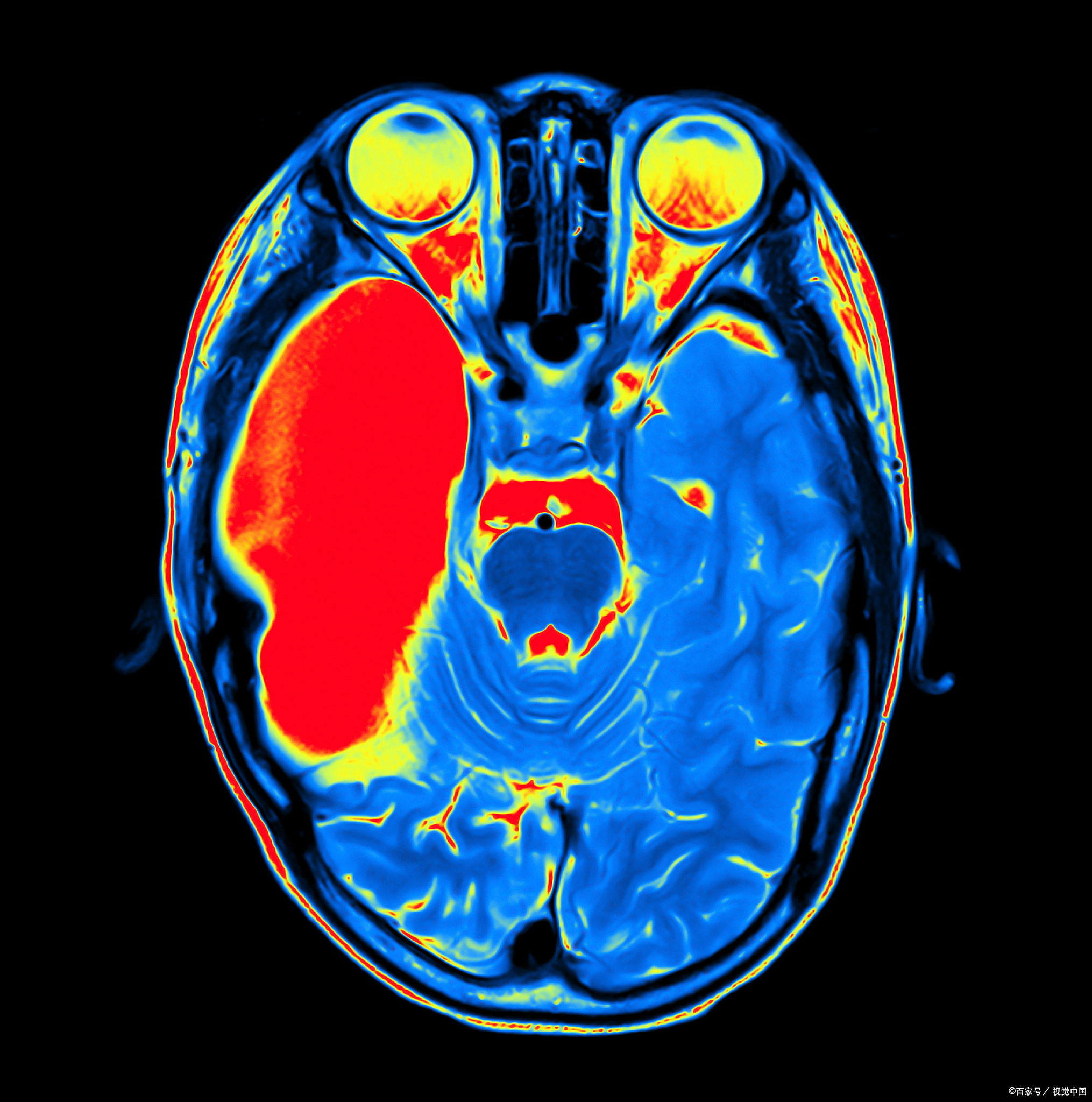
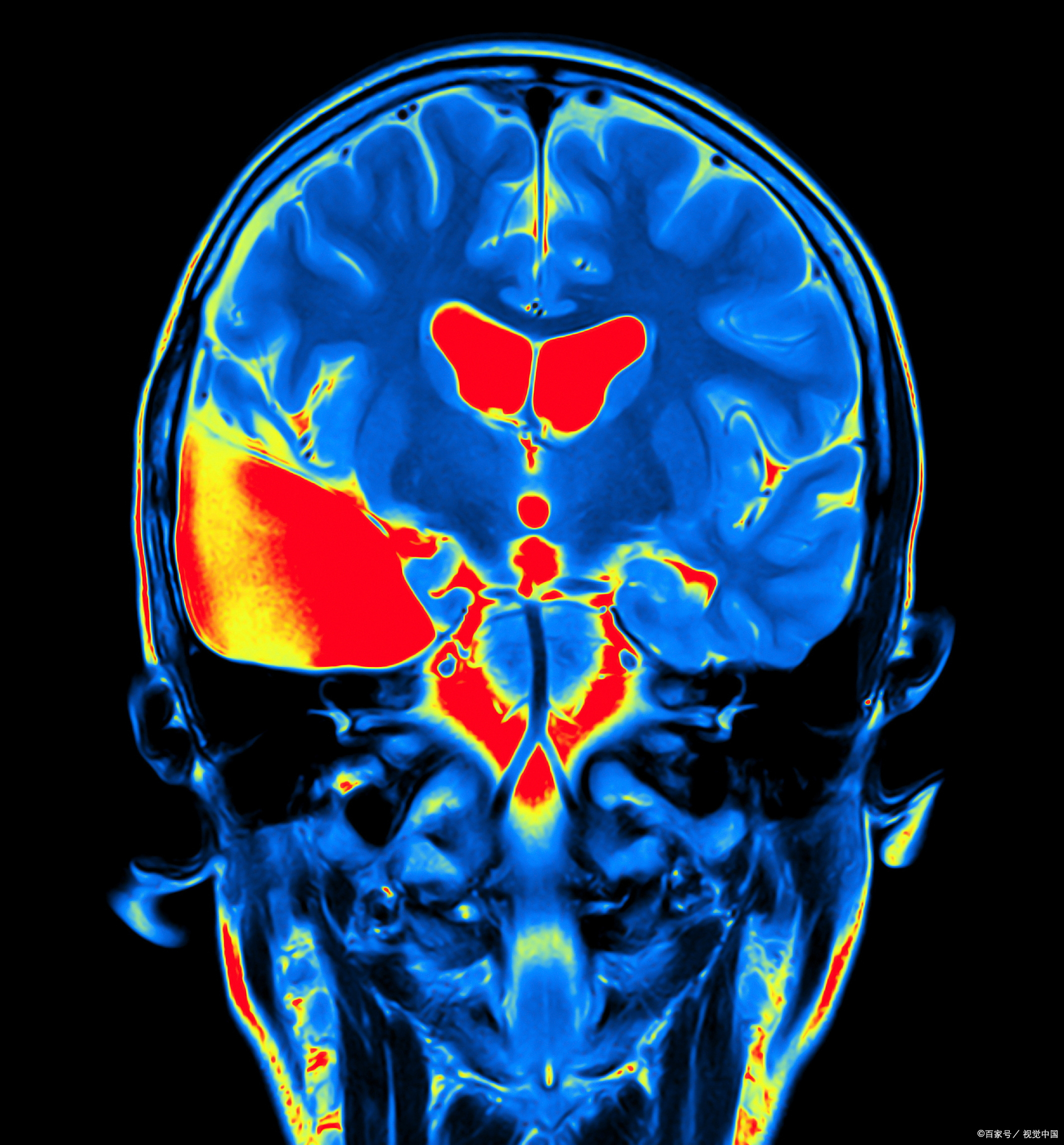
在进行脑部ct检查时发现脑部高密度影.有患者怀疑是不是得脑肿瘤
图片尺寸2030x2048
的社交脑成像大脑检查结果图片大全彩色核茨陨窬⒂僦突级 11岁
图片尺寸2874x2876
突发脑卒中如何抢得生命先机?专家带来的救命指南,人人须知!
图片尺寸6000x4000
公公脑干出血,老公指责我,我到底做错了什么
图片尺寸1956x2048
多模态光学成像技术结合多种成像模态,全面,精准检测生物组织结构和
图片尺寸856x570
可以通过成像技术观察和记录脑部结构和功能上的变化
图片尺寸1513x1280
为什么中青年人群脑卒中的发病率正在逐年攀升?
图片尺寸5140x3427
图片尺寸1712x3827
完整小鼠头颅三维成像带颅骨大脑眼球舌头
图片尺寸1080x1920
世界上最强大的核磁共振成像仪首次捕捉到令人震惊的脑部扫描
图片尺寸1920x1280
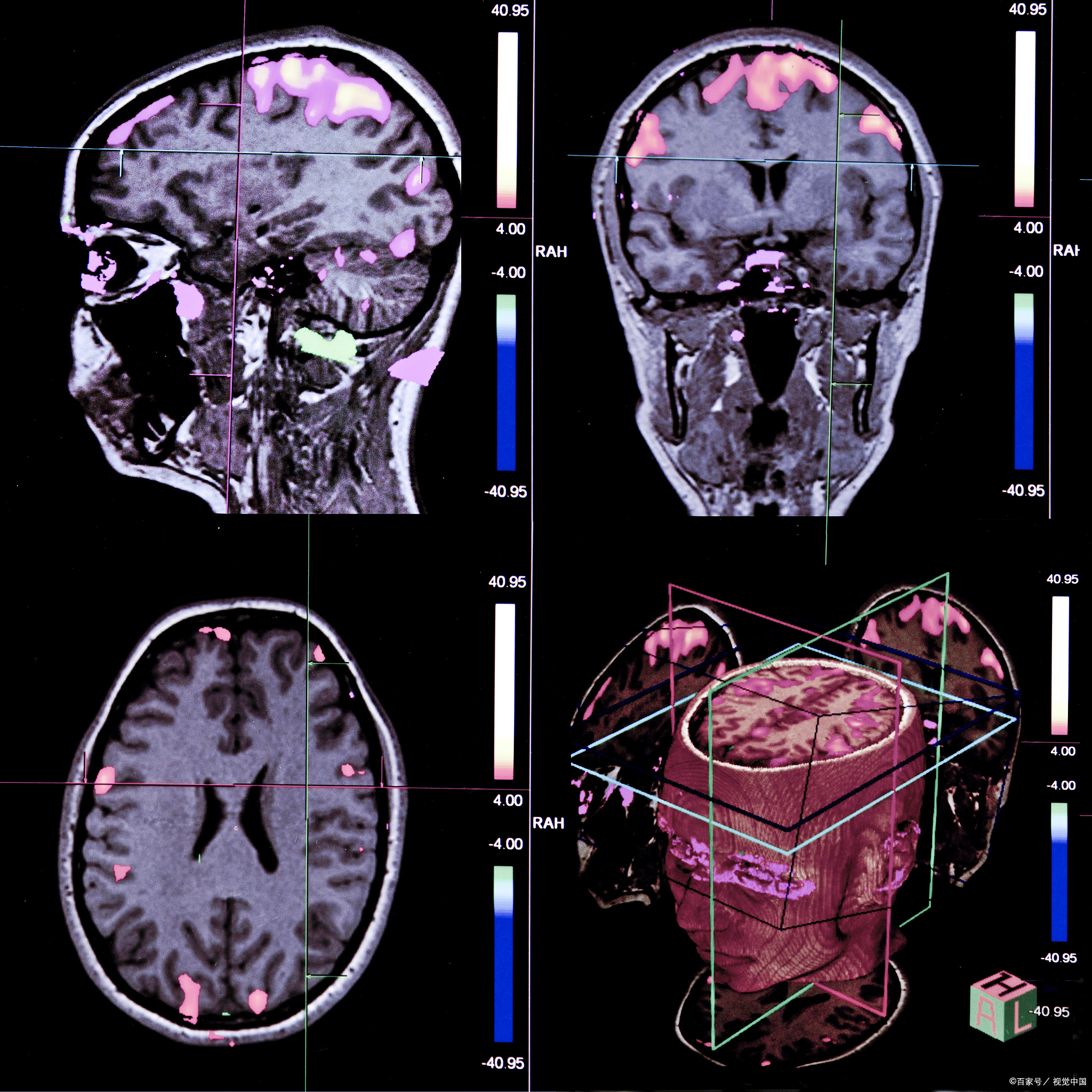
今天有个患者在进行脑部检查的时候发现存在双侧额顶叶白质异常
图片尺寸2048x2048
创新组织透明技术在无标记脑成像的应用
图片尺寸1002x1540
mri脑部影像
图片尺寸1440x810
这可能是全网最高清的离体人脑mri扫描图像/医学资料
图片尺寸3520x2200
慧创近红外助力青少年抑郁症常规检查
图片尺寸831x743
独属人类的"魔法精灵"?藏在你我的大脑里
图片尺寸660x715
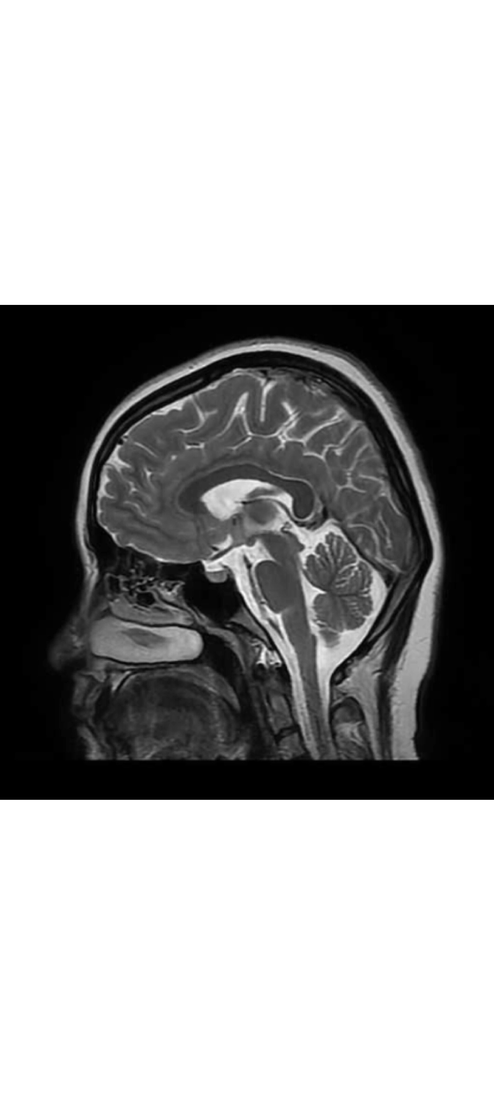
新生儿大脑的磁共振成像
图片尺寸1004x1534