脑干胶质瘤

脑干胶质瘤
图片尺寸504x448
胶质瘤
图片尺寸746x500
我的好友24岁,脑干部位长了胶质瘤,不能手术和放疗,情况危急,请海内外
图片尺寸1280x960
脑干弥漫性中线胶质瘤一例武汉高尚医学影像
图片尺寸586x710
脑干胶质瘤的影像表现 - 好大夫在线
图片尺寸1080x1243
儿童脑干胶质瘤切除后孩子蹦蹦跳跳的出院了
图片尺寸784x833
脑胶质瘤影像学及鉴别诊断
图片尺寸2667x2000
带你认识脑胶质瘤(1)
图片尺寸463x452
弥漫性脑干胶质瘤诊疗案例及基于h3k27突变的临床出路_医学界-助力
图片尺寸1080x1080
脑干胶质瘤:张力伟16观点张力伟医学9787518913602
图片尺寸600x910
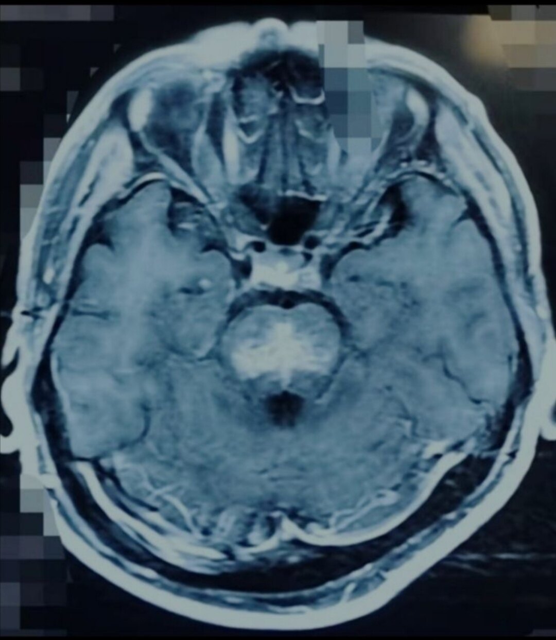
又一例脑干胶质瘤入院
图片尺寸379x500
脑胶质瘤严重吗
图片尺寸658x539
二,脑干胶质瘤的放疗
图片尺寸841x1221
脑胶质瘤影像学及鉴别诊断
图片尺寸2667x2000
顶枕叶脑胶质瘤 - 好大夫在线
图片尺寸3000x4000
脑胶质瘤影像学及鉴别诊断
图片尺寸2000x2667
多伦多病童医院脑干胶质瘤ppt_第2页
图片尺寸920x690
女27岁持续头痛一月余伴头晕呕吐数天脑胶质瘤
图片尺寸3168x4224
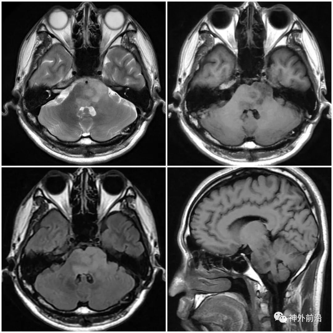
面对脑干胶质瘤束手无策安全全切后10年以上无复发案例3则
图片尺寸629x684
魏社鹏版脑胶质瘤的分类和病理诊断20191113
图片尺寸5120x5120