脑核磁图片

发热变基本正常,颅脑核磁(图-21)和其他相关检查后考虑结核性脑炎
图片尺寸858x1379
图-36:脊髓核磁2016年11月8日(四脑室腹壁外引流术后1年),双侧引流出
图片尺寸598x1050
图-34:脊髓颅脑核磁期间患儿短暂出院后又再次住院,继续治疗有1年余
图片尺寸1080x851
后枕小脑脊膜膨出术后仍脑积水,脑分流术后颅内感染性顽固头痛性昏迷
图片尺寸954x444
磁共振mr 3d-asl不打药脑灌注成像,以前只有在一线大城 - 抖音
图片尺寸1440x1654
后枕小脑脊膜膨出术后仍脑积水,脑分流术后颅内感染性顽固头痛性昏迷
图片尺寸675x479
后枕小脑脊膜膨出术后仍脑积水,脑分流术后颅内感染性顽固头痛性昏迷
图片尺寸590x496
后枕小脑脊膜膨出术后仍脑积水,脑分流术后颅内感染性顽固头痛性昏迷
图片尺寸803x488
颅脑mri强化 bravo明确静脉畸形的形态
图片尺寸1080x1196
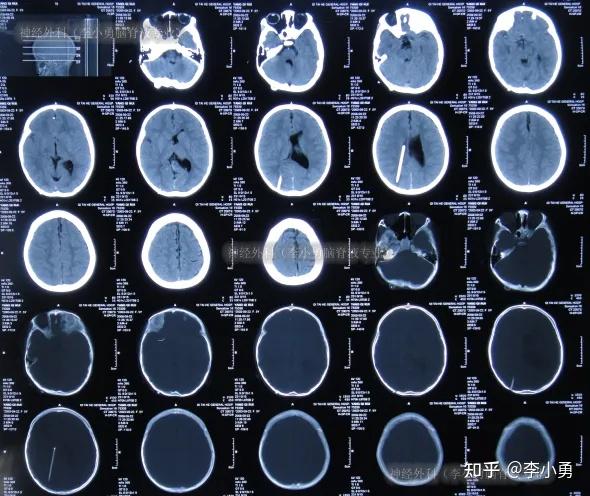
有时候,在脑ct,脑核磁共振中,经常可以看到如下图所示的异常影像.
图片尺寸2342x1530
术前核磁
图片尺寸640x853
头颅核磁无明显梗塞缺血改变.
图片尺寸2736x3648
磁共振成像大脑扫描
图片尺寸682x1023
矢状位头颅核磁更清楚看到后颅凹结构下移,小脑和脑干贴合紧密,幕上脑
图片尺寸2000x2667
头部磁共振图像
图片尺寸700x815
颅脑磁共振显示左侧枕叶出血
图片尺寸2000x2667
脚底麻木,拖鞋总掉?深圳32岁男子神秘病因竟是脑肿瘤?
图片尺寸640x960
多发性脑硬化症的磁共振成像
图片尺寸800x1200
头颅磁共振dwi高信号一定就是脑梗死吗
图片尺寸913x979
没见过的颅脑磁共振求助诊断急急急
图片尺寸3072x2304