脑桥ct

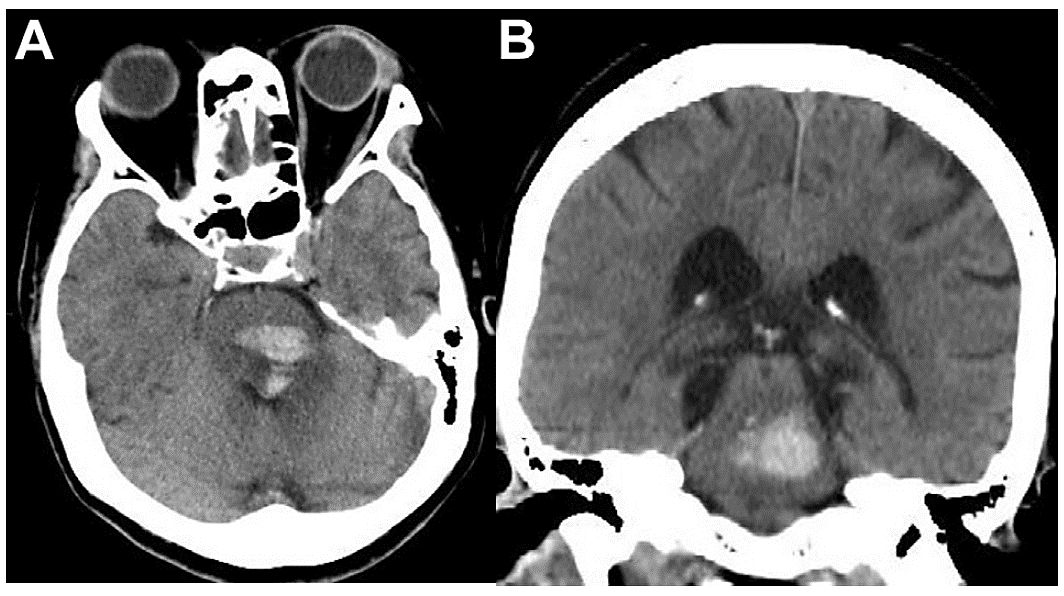
(图:ct扫描可见双侧脑桥出血,右侧明显)
图片尺寸1051x1280
术前ct提示桥脑出血.
图片尺寸432x378
图1. ct显示左侧桥脑出血.图2. 术中发现:a.
图片尺寸1064x596
头ct可见桥脑占位合并出血
图片尺寸2313x1200
脑桥中央髓鞘溶解症影像表现
图片尺寸960x720
图2 典型的脑桥三叉样外观t1wi和t2wi上的信号演变需要2个星期的时间
图片尺寸457x528
经脑桥断层
图片尺寸640x483
术后1d复查ct,见脑桥双侧,中脑中部及右侧,左侧小脑,右侧颞叶内侧
图片尺寸1723x949
患者完全清醒,自主呼吸,自主活动,复查头颅ct提示未见明显继发出血
图片尺寸1080x810
橄榄体脑桥小脑萎缩(opca)
图片尺寸750x1000
十一,水母头征在血管造影,增强ct或mri上,脑实质内多支明显强化的小
图片尺寸604x663
橄榄脑桥小脑萎缩的诊断要点
图片尺寸600x432
图4. 脑桥水平轴位t2-flair mr成像
图片尺寸570x580
什么是脑干脑桥肿瘤诊断类型治疗策略和新疗法解读
图片尺寸1003x525
脑桥中央髓鞘溶解症
图片尺寸612x582
头晕.ct:左桥脑小脑角极低密度占位,边界清楚,无占位效应(图1).
图片尺寸2048x1536
颅脑正常影像解剖(课后辅导3)190702
图片尺寸640x360
25日复查ct如下,患者自觉回复很好,拒绝增强及dsa,不是海绵状血管瘤
图片尺寸639x613
什么是脑干脑桥肿瘤诊断类型治疗策略和新疗法解读
图片尺寸1007x667
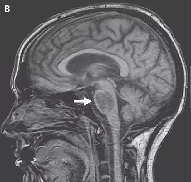
图1. 脑桥右侧份出血后改变
图片尺寸640x273