脑梗早期

神经外科医生胡永珍的微博视频
图片尺寸1112x672
老股民每天10支烟,高血压一年,头晕后发现脑梗塞
图片尺寸2093x2569
脑梗_新浪新闻
图片尺寸640x853
腔隙性脑梗塞_腔隙性脑梗塞介绍 - 好大夫在线
图片尺寸360x240
脑梗的早期症状及预防(脑梗的初步症状,脑梗的早期症状)
图片尺寸640x501
结果:小脑梗塞,责任血管应该是基底动脉穿支. 如图
图片尺寸1600x1011
出血性脑梗塞大脑图片
图片尺寸500x598
杨淑兰,女,55岁.右侧顶叶区脑梗死
图片尺寸2000x2667
相比上面说的大面积脑梗死,患腔隙性脑梗 梗死
图片尺寸640x797![[学习交流]脑梗死普通非增强 ct 的早期征象](https://i.ecywang.com/upload/1/img2.baidu.com/it/u=1228639218,1683334134&fm=253&fmt=auto&app=138&f=JPEG?w=640&h=340)
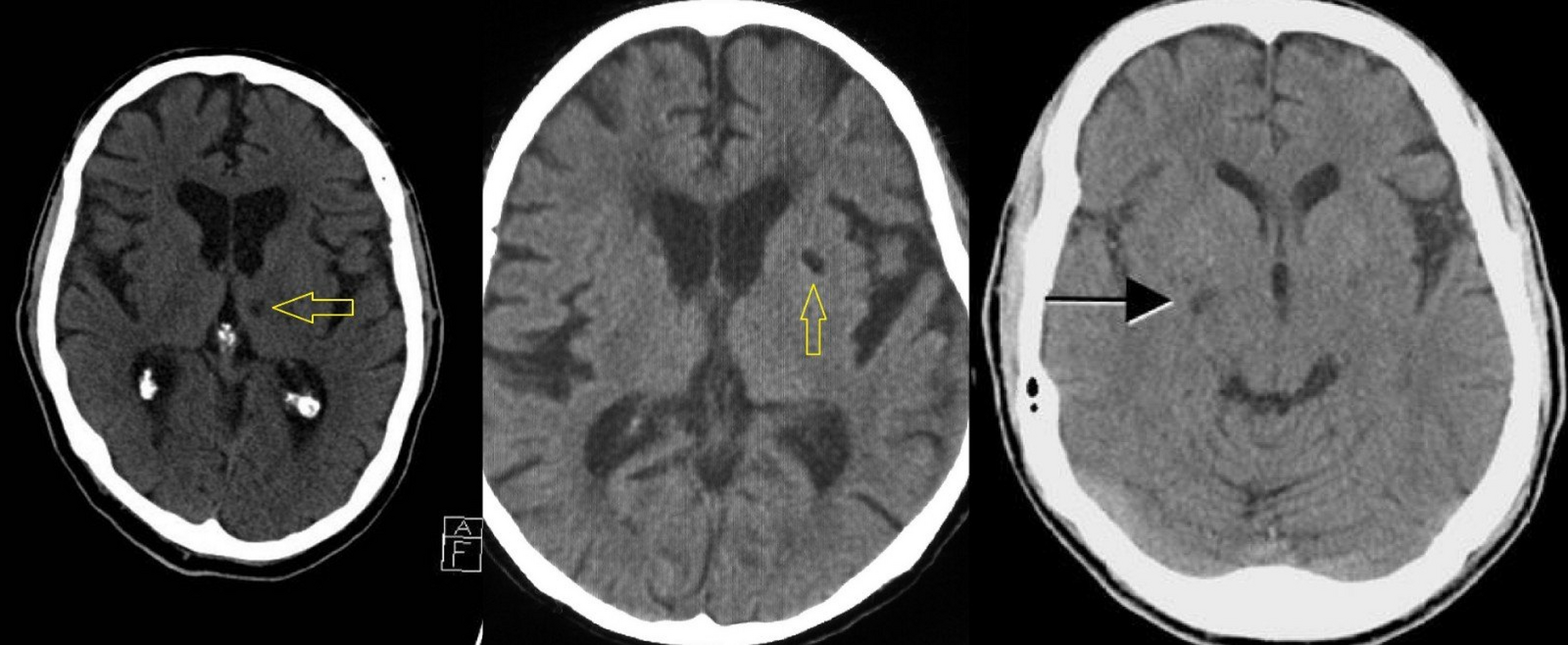
[学习交流]脑梗死普通非增强 ct 的早期征象
图片尺寸640x340
脑梗早期并非没有症状(脑梗早期的6个症状)
图片尺寸640x460
一例急性脑梗塞的溶栓治疗
图片尺寸1200x1600
脑中风后,痉挛的处理要从发病早期开始 #脑梗偏瘫正确康复训练# (1)
图片尺寸2029x1280
左侧基底节区急性脑梗塞
图片尺寸1074x1503
三招策略助你防止脑梗塞复发
图片尺寸512x512
腔隙性脑梗塞的常见6大症状,很容易被忽视!
图片尺寸3112x1280
脑出血引发脑梗塞图片
图片尺寸753x500
轻度脑梗早期或会出现的5个症状,若能及早发现,或能遏制发展
图片尺寸640x389
脑梗塞的前期预兆表现
图片尺寸600x281
脑梗塞的早期症状腿脚发软无力舌头发硬
图片尺寸500x313