脑梗死核磁

95亚急性脑梗死mri影像学习
图片尺寸1280x1706
急性脑梗死头mri的临床特点「超强解读」
图片尺寸626x640
脑干急性梗死
图片尺寸3072x1991
30岁脑梗
图片尺寸1080x1439
病例分享|一例急性脑梗死患者的两个提问~ - 神经内外 - 医学交流
图片尺寸1754x1754
神内临床笔记58 脑梗死 mri病例汇总
图片尺寸600x705
95亚急性脑梗死mri影像学习
图片尺寸1280x1706
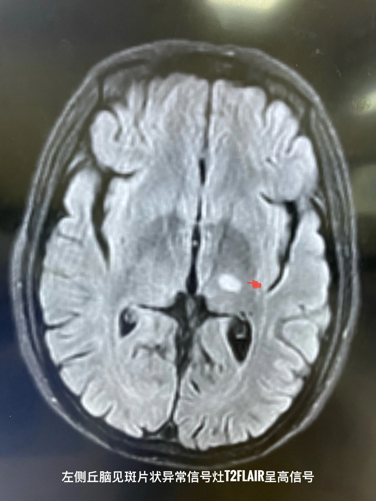
不明原因脑梗,血管炎吗?
图片尺寸3456x4608
家父右脑梗塞,现左上肢麻木,***各位专家有何治疗方法
图片尺寸800x937
患者右侧肢体无力1个月,1个月前当地医院核磁提示急性脑梗死
图片尺寸2000x2667
头颅核磁无明显梗塞缺血改变.
图片尺寸2736x3648
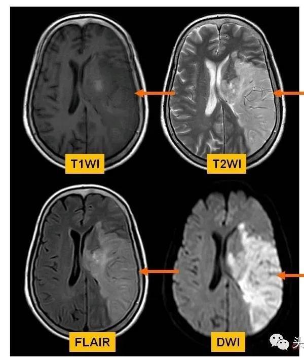
急性脑梗死mri的临床特点,超全总结
图片尺寸1080x724
脑梗死
图片尺寸3120x4160
头ct显示腔隙性脑梗塞,我该怎么办?别担心,专家教你应对!
图片尺寸1048x1280
急性脑梗死头mri的临床特点「超强解读」
图片尺寸658x640
病例:被误诊为"脑梗死,脑炎"的"线粒体脑肌病"1例(含病史及3次颅脑磁
图片尺寸417x480
67急性脑梗死mri的临床特点,超全总结
图片尺寸998x1434
杨淑兰,女,55岁.右侧顶叶区脑梗死
图片尺寸2000x2667
急性脑梗死临床及其mri影像特点(2)
图片尺寸788x1050
跪谢:家母脑梗死28天了!请高人指点病情!
图片尺寸2360x2342