脑水肿恶性

脑水肿
图片尺寸500x345
脑水肿
图片尺寸500x333
男婴脑积水 头部肿胀巨大(图)
图片尺寸608x435
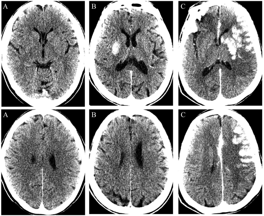
病例学习:颅骨修补术后恶性脑水肿一例
图片尺寸640x386
左额叶深部中线旁可见体积较大的脑脓肿,并周围大片脑水肿,颅内压明显
图片尺寸550x413
脑出血性脑水肿
图片尺寸2080x1560
右颞叶小片结脑水肿
图片尺寸792x962![【读片】脑积水 [病例帖]](https://i.ecywang.com/upload/1/img1.baidu.com/it/u=2712006585,2894218197&fm=253&fmt=auto&app=138&f=JPEG?w=500&h=752)
【读片】脑积水 [病例帖]
图片尺寸2000x3008
脑水肿
图片尺寸500x299
脑出血性脑水肿
图片尺寸2080x1560
术前头颅ct显示右侧颞顶叶大面积占位病变,周围水肿明显,中线左移近
图片尺寸1272x1429
2017年2月17日术后立即复查头颅ct显示:术后额叶水肿.
图片尺寸1062x1128
打开硬脑膜,见水肿明显.
图片尺寸1920x1080
术后做颅骨切除,导致整个有脑水肿
图片尺寸3017x3396
术后3周ct复查,脑水肿消退,中线居中.
图片尺寸2048x1536
颅骨缺损修补术后恶性脑水肿一例丨颅脑创伤神经重症病例周刊第31期
图片尺寸1280x720
肖庆案例分享-神经内镜下治疗脑积水
图片尺寸2976x3968
图1颅脑ct示脑组织水肿明显,双侧基底节,顶叶,枕叶可见片状低密度影
图片尺寸625x312
精选编译ct显示脑内高密度可预测ais介入治疗后的恶性脑水肿
图片尺寸911x746
脑水肿脑积水的分类及影像表现一文归纳
图片尺寸740x427