脑淀粉样变性

脑淀粉样变性的临床特点及影像表现
图片尺寸932x1190
1,脑淀粉样变性又称淀粉样脑血管病,属于一种常见的脑血管病.
图片尺寸1257x1280
脑淀粉样变性ppt学习教案
图片尺寸920x690
淀粉样脑血管病的影像学特征,你了解吗?
图片尺寸512x512
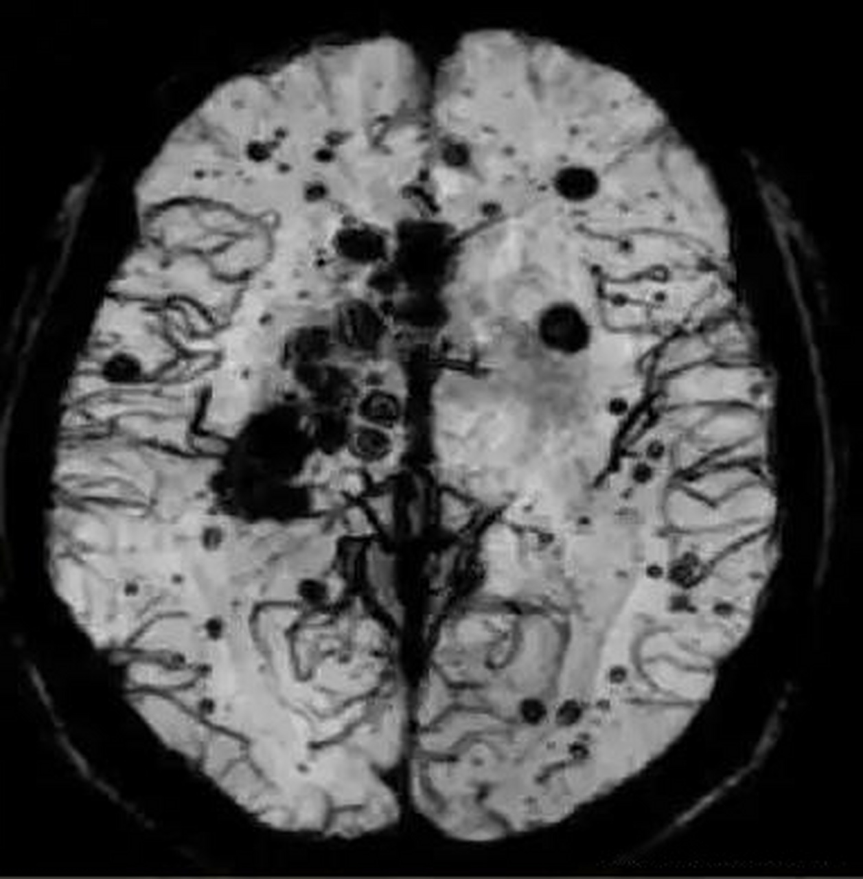
烟雾病脑淀粉样变性丨影像及临床诊断要点
图片尺寸863x432
淀粉样变性脑血管病的影像诊断
图片尺寸960x720
淀粉样变性脑血管病的影像诊断
图片尺寸960x720
淀粉样脑血管病
图片尺寸800x474
淀粉样脑血管病
图片尺寸1080x1440
警惕淀粉样脑血管病
图片尺寸961x1280
烟雾病脑淀粉样变性丨影像及临床诊断要点
图片尺寸864x430
淀粉样变性脑血管病的影像诊断
图片尺寸960x720
影像视界脑血管淀粉样变性的诊断
图片尺寸788x424
脑淀粉样变性ppt
图片尺寸1080x810
病例分享脑淀粉样血管病病例分享及概述
图片尺寸876x958
脑淀粉样变性图文ppt课件_第3页
图片尺寸920x518
淀粉样变性脑血管病的影像诊断
图片尺寸960x720
依据患者病史及血管造影检查考虑脑血管淀粉样变性所致的脑出血.
图片尺寸4160x2336
易误诊的脑淀粉样血管病分析并文献复习
图片尺寸3591x1474
淀粉样脑血管病的影像学特征你了解吗
图片尺寸660x530