脑疝ct图片

脑疝的头颅ct片是这样的八个并发症告诉你
图片尺寸960x1920
脑疝的类型及其影像学特点_腾讯新闻
图片尺寸581x666
各种疝的ct影像诊断
图片尺寸960x720
脑疝分类及影像学表现图解丨影像天地
图片尺寸960x720
脑疝病人救治.男,21岁,车祸导致昏迷 1小时入院,急诊ct - 抖音
图片尺寸1439x1920
去大骨瓣减压术后腰穿诱发反常性脑疝的患者腰穿前颅脑ct常可见脑室
图片尺寸700x538
1例重型tbi患者去骨瓣减压术发生急性反常脑疝
图片尺寸750x378
右侧脑出血破入脑室脑疝一例
图片尺寸1527x1611
患者已经昏迷,估计随着时间的发展,出现脑疝的可能性 .
图片尺寸3872x2418
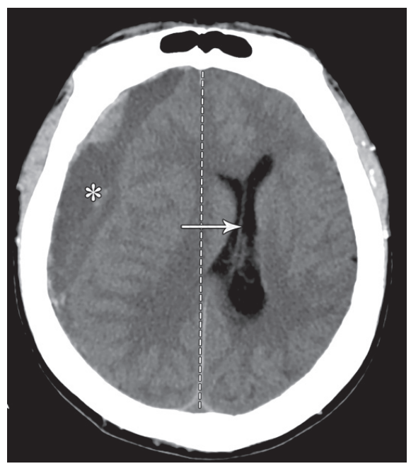
ct教学入门七大脑镰下疝
图片尺寸1724x1078
脑疝的头颅ct片是这样的八个并发症告诉你
图片尺寸960x1920
脑疝的类型及其影像学特点_医学界-助力医生临床决策和职业成长
图片尺寸578x761
脑疝-影像学ppt
图片尺寸1080x810
车祸伤脑疝
图片尺寸1200x1600
脑疝,脑死亡丨影像及临床诊断要点_医学界-助力医生临床决策和职业
图片尺寸860x426
神经内科科室死亡病例讨论之小脑幕切迹疝or 枕骨大孔疝
图片尺寸848x313![【病例讨论】1例右侧脑室占位的脑疝患者 [病例帖]](https://i.ecywang.com/upload/1/img0.baidu.com/it/u=36535292,3852187587&fm=253&fmt=auto&app=138&f=JPEG?w=500&h=500)
【病例讨论】1例右侧脑室占位的脑疝患者 [病例帖]
图片尺寸1024x1024
【临床故事】生死争夺!我院神经外科成功让一名脑疝患儿转危为安
图片尺寸512x512
左侧丘脑出血破入脑室并脑疝形成
图片尺寸2000x3556
病例:手术治愈巨大脑膜瘤并脑疝患者
图片尺寸600x704