脑瘤切片

脑肿瘤
图片尺寸4032x3024
侧裂深部不典型脑膜瘤一例--浙二神外周刊(第164期)
图片尺寸1030x647
脑膜瘤切片图片
图片尺寸600x472
脑肿瘤病例讨论
图片尺寸600x451
副主任医师在手术室相关人员配合下全切一例小脑幕下乙状窦旁巨大脑瘤
图片尺寸1941x1884
一例额部矢状窦大脑镰旁脑膜瘤手术
图片尺寸2667x2000
颅内占位的术中冰冻切片 - 好大夫在线
图片尺寸2736x2736
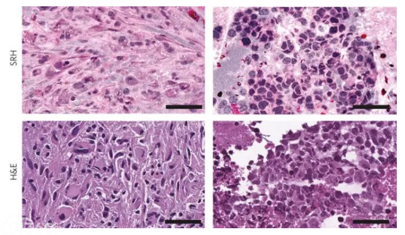
机器学习脑肿瘤虚拟染色助力快速诊断分类
图片尺寸835x485
右侧顶叶窦镰旁脑膜瘤一例
图片尺寸3264x2448
ssp12特殊类型的脑膜瘤
图片尺寸1000x842
ssp12特殊类型的脑膜瘤
图片尺寸1000x869
一例额部矢状窦大脑镰旁脑膜瘤手术
图片尺寸1440x1080
病例分享累及颅骨及矢状窦的脑膜瘤simpsoni级切除一
图片尺寸1080x802
病例分享左顶横纹肌样脑膜瘤一例神经病理系列十三浙
图片尺寸1080x1360
病例讨论儿童脑肿瘤一例
图片尺寸1080x518
右侧额叶占位性病变
图片尺寸1200x1600
ssp-12(特殊类型的脑膜瘤)
图片尺寸1000x831
福建正扬司法鉴定所对孙必让死因法医学鉴定
图片尺寸1192x893
脑肿瘤的病理和影像学特征一丨影像天地
图片尺寸960x720
脑膜瘤4
图片尺寸1080x736