脑癌头骨

骨癌患者的头骨
图片尺寸640x640
我头上长了一个颅骨骨瘤,专家说没有关系,可是我发
图片尺寸1920x2560
数字神经外科技术辅助平舆县人民医院完成脑膜瘤切除术
图片尺寸452x433
头骨骨癌
图片尺寸700x932
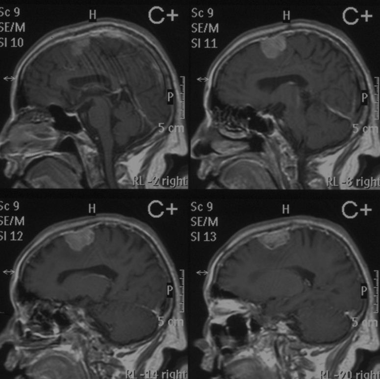
颅骨良性肿瘤的影像诊断
图片尺寸908x678
乍听之下,还是有一丝的惊诧,打磨头骨是需要胆量的,您敢有这些的勇气
图片尺寸700x700
颅骨骨瘤概述
图片尺寸300x300
以 3d 图像的人类头骨和颈椎 ct 扫描.斜向视图
图片尺寸700x700
颅内重要部位肿瘤切除术后病人康复出院.许昌医院神经外科
图片尺寸2832x3630
以 3d 图像的人类头骨和颈椎 ct 扫描.横向视图
图片尺寸700x700
脑积水每天流进腹部300毫升 哈医大一院应用rosa机器
图片尺寸509x336
破骨重圆 完美修复后还原31岁小伙帅气人生_小吕_颅骨_手术
图片尺寸1122x804
大意头疼拖了半月差点要命竟然要开颅才逃过一劫
图片尺寸552x682
良性脑肿瘤不开刀可以吗脑膜瘤4年未治疗病例
图片尺寸775x774
颅骨,无人,横图,室内,特写,白天,正面,静物,黑色背景,骷髅,头骨,一个
图片尺寸819x614
ct51894:头颅
图片尺寸612x816
头骨,脑,3d扫描,脑肿瘤,磁共振成象扫描
图片尺寸1100x1100
成软骨细胞瘤
图片尺寸251x300![【读片】老年人的颅骨 [病例帖]](https://i.ecywang.com/upload/1/img0.baidu.com/it/u=2789862876,2150787623&fm=253&fmt=auto&app=138&f=JPEG?w=500&h=1000)
【读片】老年人的颅骨 [病例帖]
图片尺寸1024x2048
风景,人文
图片尺寸616x819