脑磁图

脑磁图
图片尺寸480x458
行业脑磁图探索生命禁区的新星
图片尺寸232x241
脑磁图清楚地显示出癫痫病灶,在病变的后方脑磁图清晰显示出病变
图片尺寸424x600
大脑的磁共振扫描.磁共振头颅扫描
图片尺寸700x467
tte与脑磁图(meg)的兼容性
图片尺寸640x495
为愣神,自动症,为较典型的复杂部分性发作,结合脑电图,脑磁图右颞放电
图片尺寸1080x536
热烈祝贺我所脑磁图研究团队获得2019年度"中国科学院科技成果在北京
图片尺寸554x442
脑磁图介绍
图片尺寸312x281
脑磁图9787502348526科技文献出版社【正版】
图片尺寸800x800
小鹏汽车董事长晒用户脑部核磁共振图遭网友批评后删除
图片尺寸1080x1738
脑成像技术——核磁共振成像技术eeg记录的大脑电活动,显示了小型
图片尺寸800x549
脑磁图与wadatest结合神经导航在局灶性皮层发育不良所致额颞癫痫外科
图片尺寸3346x1542
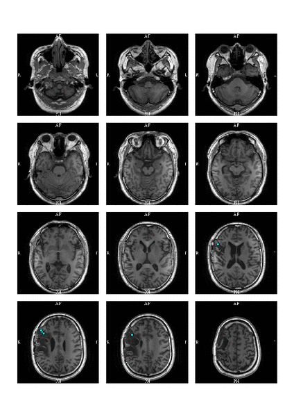
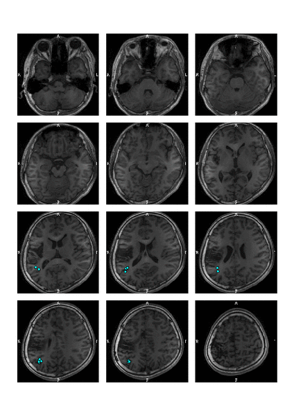
血吸虫病术后,有癫痫反复发作,行脑磁图检查示病灶前方癫痫灶作,作ge
图片尺寸424x600
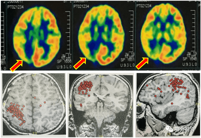
图4-2上图pet箭头所示代代谢可疑癫痫灶区域,下图脑磁图红色圆点为
图片尺寸659x455
前沿| 耶鲁大学人脑研究:用磁共振扫描你的智力水平
图片尺寸1012x745
罗欢课题组在《plos biology》上发表脑磁图论文,采用脑磁图(meg)
图片尺寸1269x1185
北京天坛医院新一代脑磁图正式开诊
图片尺寸309x505
脑磁图:监测期间发作期间可见少量癫痫样放电,定位于右侧颞叶
图片尺寸1030x340
1971年,国外有人在磁屏蔽室内***记录到了脑磁图.
图片尺寸800x533
行业脑磁图探索生命禁区的新星
图片尺寸601x418