脑积水 大头

孟加拉两岁男孩患脑积水 头部重18斤
图片尺寸609x541
女子患脑积水30年头部肿大像外星人网友建议安乐死但却
图片尺寸634x476
男婴脑积水 头部肿胀巨大(图)
图片尺寸608x435
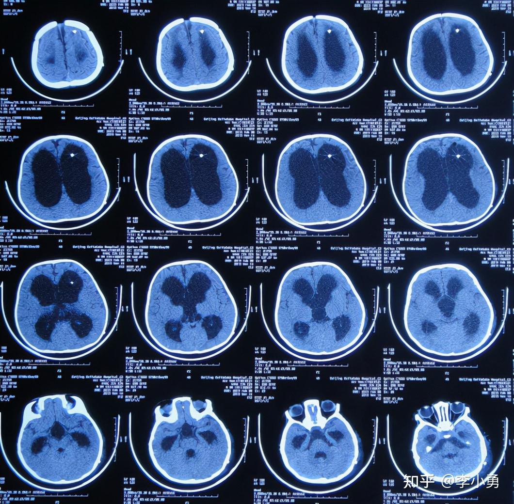
9月大婴儿大头脑积水后直接采用李小勇氏预防分流感染和堵管并发症并
图片尺寸1060x1040
印度大头娃娃患脑积水,头是正常人的三倍大_网易订阅
图片尺寸500x352
大头娃娃除了关注奶粉,更要警惕脑积水
图片尺寸376x428
严重脑积水症状图片
图片尺寸627x500
大头娃娃脑积水是怎样形成的呢
图片尺寸640x964
2岁男孩头重18斤 孟加拉国2岁男孩患脑积水头越来越大
图片尺寸600x450
基本完全可以实现消灭婴儿大头娃娃性脑积水的目标和理想_治疗_李小勇
图片尺寸1440x1080
"大头娃娃"艰难求医路——一例特殊的先天性脑积水补救性治疗
图片尺寸689x400
孟加拉2岁男孩患脑积水头部重18斤相当于1岁男婴体重
图片尺寸634x476
儿子从小患脑积水无钱医治成大头儿子父亲带他上街乞讨
图片尺寸960x640
婴儿脑积水和老年脑积水治疗有什么不同呢?
图片尺寸1080x1090
河北"大头娃娃"出生即患脑积水 与母蜗居30年
图片尺寸400x266
大头娃娃先天性脑积水
图片尺寸704x426
9月大婴儿大头脑积水后直接采用李小勇氏预防分流感染和堵管并发症并
图片尺寸1028x1292
软性神经内镜治疗早产儿脑积水,守护生命的奇迹!_孩子_脑室_肖庆
图片尺寸562x449
汪受传脑积水解颅中医显奇效
图片尺寸550x359
大头儿子一定是脑积水听听权威专家怎么说过
图片尺寸640x460