脑穿通畸形

脑穿通畸形一例,大家给参谋参谋!
图片尺寸1534x1923
全前脑一例(有引产后图片)
图片尺寸2304x1728
脑穿通畸形一例,大家给参谋参谋!
图片尺寸1487x1824
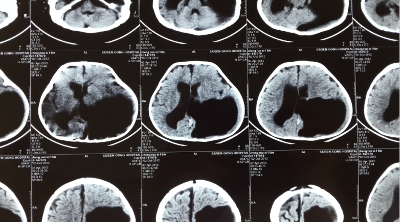
脑梗还是脑穿通畸形
图片尺寸394x395
切莫忽视儿童脑发育不良的早期诊治脑室穿通畸形的手术
图片尺寸782x435
男子脑出血术后颅骨缺损合并脑室穿通畸形穆苍山peek颅骨修复一并解决
图片尺寸1200x817
脑室穿通畸形颅骨修补的讨论
图片尺寸2576x1932
未融合,内衬灰质从脑室到蛛网膜下腔贯穿左侧大脑半球的裂隙主要特点
图片尺寸631x458
泉州4个月大女婴先天神经管畸形(2)
图片尺寸500x375
切莫忽视儿童脑发育不良的早期诊治脑室穿通畸形的手术
图片尺寸779x437
脑穿通畸形一病例分享
图片尺寸321x358
鉴别诊断:开放型脑裂畸形应与脑穿通畸形囊肿鉴别,最关键点是开放型脑
图片尺寸1080x810
另外,脑穿通畸形可否有骨质压迫,我没有查到相关文献,请战友告知,以下
图片尺寸640x410
鉴别诊断:开放型脑裂畸形应与脑穿通畸形囊肿鉴别,最关键点是开放型脑
图片尺寸1080x810
鉴别诊断:开放型脑裂畸形应与脑穿通畸形囊肿鉴别,最关键点是开放型脑
图片尺寸1080x810
今天做到的病例脑裂畸形
图片尺寸2592x1944
明显占位效应,相邻脑实质有受压改变,脑穿通畸形囊肿占位效应常不明显
图片尺寸1080x810
(先天性第四脑室中,侧孔闭锁综合征)脑裂畸形(灰质)脑穿通畸形(白质)
图片尺寸640x480
男子脑出血术后颅骨缺损合并脑室穿通畸形穆苍山peek颅骨修复一并解决
图片尺寸1200x524
脑中的不定时炸弹脑动静脉畸形
图片尺寸720x551