脑肺吸虫病

脑肺吸虫病能治好吗?
图片尺寸500x529
颅内感染性病变
图片尺寸2567x1909
脑型肺吸虫病
图片尺寸299x300
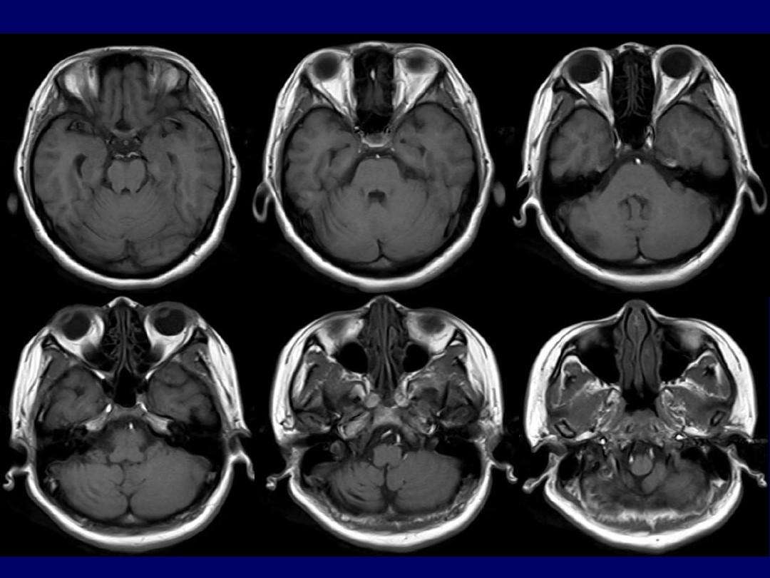
脑肺吸虫病神经系统影像诊断
图片尺寸601x1020
脑肺吸虫病为神经系统疾病,多由食用未煮熟食物引起
图片尺寸1080x810
大脑里面「凹造型」:常见神经系统寄生虫感染影像表现
图片尺寸533x613
颅内占位的脑型肺吸虫病2例
图片尺寸343x220
颅内占位的脑型肺吸虫病2例
图片尺寸512x184
【病例讨论】大家看看,这是脑肺吸虫病吗?
图片尺寸640x480
病生笔记ppt
图片尺寸1080x810
这可能会压迫脑组织,引起脑组织炎症,软化,水肿等.
图片尺寸720x967
生吃海鲜小心寄生虫侵犯大脑|肺吸虫|感染_网易订阅
图片尺寸639x413
说, 罗某颅脑ct右侧颞顶叶脑出血,右侧颞顶叶脑水肿,左侧肺少量液气胸
图片尺寸778x593
脑肺吸虫病
图片尺寸496x299
癫痫抽搐另有原因,这种寄生虫引发的脑部疾患,医生提醒不容忽视
图片尺寸1272x986
小伙吃生蟹患肺吸虫病脑部被感染 所幸就医及时
图片尺寸540x476
罪魁祸首就是它,为了家人健康必看!
图片尺寸410x287
南宁一男子经常头痛医生从他脑内拽出寄生虫
图片尺寸1041x1411
梅元武等:中枢神经系统感染
图片尺寸640x481
生吃淡水三文鱼到底有没有害
图片尺寸1080x810